Ưu nhược điểm của dán sứ veneer | Giải pháp thẩm mỹ tối ưu hay chỉ là xu hướng nhất thời?
1. Ưu nhược điểm của dán sứ veneer
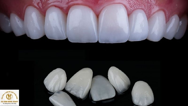
Dán sứ veneer là phương pháp phục hình thẩm mỹ nha khoa hiện đại, sử dụng một lớp sứ siêu mỏng (chỉ từ 0.2 - 0.5 mm) dán trực tiếp lên bề mặt ngoài của răng thật. Có khả năng khắc phục một số vấn đề về răng. Tuy nhiên bên cạnh đó vẫn còn tồn tại một số nhược điểm, cụ thể như sau:
1.1. Ưu điểm
Kỹ thuật này đã trở thành xu hướng nhờ những lợi ích đáng kể sau đây, được các chuyên gia nha khoa đánh giá cao:
Tối ưu hóa thẩm mỹ với vẻ đẹp tự nhiên
Mặt dán sứ veneer được chế tác từ chất liệu sứ cao cấp với độ trong mờ tự nhiên, có khả năng phản xạ ánh sáng tương tự men răng thật. Nhờ vậy, nụ cười sau khi dán sứ không chỉ trở nên trắng sáng, đều màu mà còn giữ được sự sống động, chân thật, khó có thể phân biệt bằng mắt thường. Đây là giải pháp hoàn hảo để che đi các khuyết điểm về màu sắc, hình dáng hay kẽ hở một cách tinh tế.

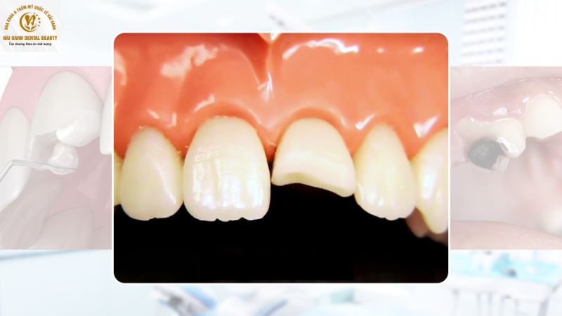
Hạn chế mài răng, bảo tồn tối đa răng thật
Điểm khác biệt và cũng là ưu thế vượt trội nhất của dán sứ veneer so với bọc sứ truyền thống là khả năng bảo tồn mô răng thật tối đa. Bác sĩ chỉ mài một lớp men răng siêu mỏng ở mặt ngoài (từ 0.3 – 0.5mm), không xâm lấn sâu vào cấu trúc răng hay tác động đến tủy. Điều này giúp răng thật vẫn giữ được sự chắc khỏe vốn có, giảm thiểu nguy cơ ê buốt sau khi thực hiện.

Mang lại cảm giác thoải mái khi ăn nhai
Với độ mỏng chỉ như một lớp kính áp tròng, mặt dán sứ veneer được gắn khít sát vào bề mặt răng thật bằng keo dán nha khoa chuyên dụng, tạo thành một thể thống nhất. Điều này giúp người dùng không có cảm giác cộm, vướng víu hay khó chịu. Đồng thời, vật liệu sứ cao cấp đảm bảo khả năng ăn nhai tốt, chịu lực ổn định và bền vững theo thời gian.

Độ bền cao, tuổi thọ lâu dài
Tuổi thọ của dán sứ veneer có thể kéo dài từ 10 - 15 năm, thậm chí lâu hơn nếu được thực hiện bởi bác sĩ có tay nghề cao và được chăm sóc đúng cách. Độ bền của veneer sứ không chỉ đến từ chất liệu cao cấp mà còn phụ thuộc vào kỹ thuật dán chính xác, đảm bảo độ bám dính hoàn hảo và duy trì sự ổn định của phục hình.

Răng sứ veneer có độ bền và tuổi thọ tương đối tốt. Có thể lên tới 10 năm
Không đau, không ê buốt
Nhờ kỹ thuật ít xâm lấn, dán sứ veneer không hoặc rất ít tác động đến ngà răng hay tủy răng. Do đó, quá trình thực hiện diễn ra nhẹ nhàng, không gây đau đớn, ê buốt hay bất kỳ cảm giác khó chịu nào cho khách hàng. Đây là một trong những yếu tố khiến dán sứ veneer được nhiều người tin tưởng lựa chọn.
1.2. Nhược điểm
Mặc dù có nhiều ưu điểm, nhưng kỹ thuật nha khoa này vẫn có những giới hạn nhất định mà bạn cần nắm rõ để đưa ra quyết định sáng suốt:
Không áp dụng cho tất cả các trường hợp
Dán sứ veneer là giải pháp thẩm mỹ hiệu quả nhưng không phải phù hợp cho mọi tình trạng. Phương pháp này chỉ phù hợp với các khuyết điểm nhẹ như răng thưa, lệch lạc, sứt mẻ nhỏ, hoặc nhiễm màu ở mức độ vừa phải. Với các trường hợp răng hô, móm, lệch lạc quá nặng, răng có tủy đã chữa hoặc cấu trúc răng hư tổn lớn, phương pháp này sẽ không đạt được hiệu quả phục hình tối ưu, mà cần cân nhắc các giải pháp khác như bọc sứ toàn phần.

Dán sứ Veneer không phù hợp cho một số trường hợp như răng vỡ lớn, hỏng nhiều.
Kỹ thuật thực hiện phức tạp và đòi hỏi chuyên môn cao
Dán sứ veneer là một kỹ thuật đòi hỏi sự tỉ mỉ, chính xác đến từng micromet. Từ khâu mài răng (nếu có), lấy dấu, chế tác đến khâu dán veneer, mọi thao tác đều phải được thực hiện bởi bác sĩ có tay nghề cao và giàu kinh nghiệm. Chỉ một sai lệch nhỏ trong việc xử lý bề mặt răng hoặc keo dán có thể khiến mặt sứ dễ bong tróc, gây lỏng lẻo và mất thẩm mỹ sau một thời gian ngắn.
Chi phí tương đối cao
Chi phí của dán sứ veneer thường cao hơn so với một số phương pháp phục hình khác. Điều này đến từ chất liệu sứ cao cấp được chế tác tinh xảo, quy trình sản xuất phức tạp, cũng như yêu cầu cao về tay nghề bác sĩ và sự hỗ trợ của các trang thiết bị hiện đại. Chi phí này là sự đầu tư xứng đáng cho một nụ cười đẹp tự nhiên, bền vững và an toàn.
2. Dán sứ veneer ở đâu để hạn chế tối đa nhược điểm của kỹ thuật nha khoa này? - Nha khoa Thẩm mỹ Quốc tế Hải Oanh
Dán sứ veneer là giải pháp thẩm mỹ hiệu quả, nhưng khi thực hiện bạn cần phải nắm rõ về ưu nhược điểm của dán sứ veneer. Đặc biệt để hạn chế tối đa nhược điểm như khả năng bong tróc, độ bền, chi phí cao… việc lựa chọn địa chỉ nha khoa uy tín là yếu tố then chốt.
Tại Nha khoa Thẩm mỹ Quốc tế Hải Oanh, chúng tôi tự hào là nơi bạn có thể đặt trọn niềm tin để sở hữu nụ cười hoàn hảo. Với đội ngũ bác sĩ chuyên sâu, giàu kinh nghiệm trong lĩnh vực dán sứ, cùng sự hỗ trợ của công nghệ tiên tiến như máy quét 3D và công nghệ thiết kế nụ cười chuyên biệt, chúng tôi đảm bảo mỗi chiếc veneer đều được chế tác và dán với độ chính xác tuyệt đối.

Quy trình thăm khám kỹ lưỡng tại đây sẽ giúp bác sĩ chẩn đoán chính xác tình trạng răng miệng, từ đó đưa ra phác đồ điều trị cá nhân hóa, đảm bảo dán sứ veneer là lựa chọn tối ưu nhất cho bạn, mang lại vẻ đẹp tự nhiên, an toàn và bền vững theo thời gian.
Việc đưa ra quyết định ưu nhược điểm của dán sứ veneer cần được xem xét một cách toàn diện, không chỉ dừng lại ở yếu tố thẩm mỹ hay chi phí. Để có lựa chọn tối ưu nhất cho nụ cười của mình, bạn nên tìm đến sự tư vấn chuyên sâu từ các bác sĩ có chuyên môn cao. Tại Nha khoa Thẩm mỹ Quốc tế Hải Oanh, chúng tôi cam kết sẽ phân tích kỹ lưỡng tình trạng răng miệng, lắng nghe mong muốn cá nhân và đưa ra phác đồ điều trị phù hợp nhất, giúp bạn sở hữu nụ cười mơ ước một cách an toàn và bền vững.
Vậy còn chờ gì không liên hệ ngay cho chúng tôi để được thăm khám cũng như tư vấn miễn phí tình trạng răng miệng của mình:
Nha Khoa Thẩm Mỹ Quốc Tế Hải Oanh - Tạo thương hiệu từ chất lượng!
- Địa chỉ: Ngã ba đường 188, Khu đô thị Tân Việt Bắc - Mạo Khê - Đông Triều - Quảng Ninh.
- Hotline: 0915.151.191 - 0818.28.28.29
- Website: https://nhakhoathammyquoctehaioanh.com/
- Zalo OA: https://zalo.me/haioanhdental
