Mòn cổ chân răng là gì? Giải pháp nào để xử lý vấn đề này hiệu quả?
1. Mòn cổ chân răng là gì?
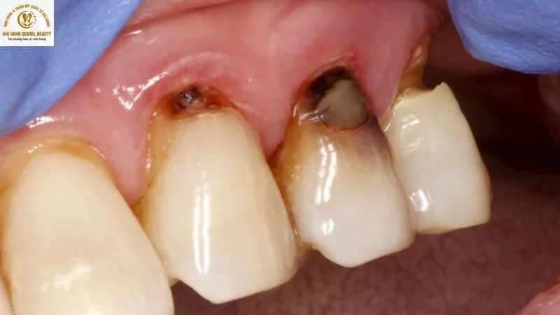
Mòn cổ chân răng là một trong những vấn đề nha khoa phổ biến, nhưng lại có khả năng gây ra những cơn ê buốt khó chịu và ảnh hưởng nghiêm trọng đến sức khỏe răng miệng. Đây là tình trạng men răng và ngà răng ở vị trí tiếp giáp với nướu bị mất dần, tạo thành các rãnh lõm hình chữ V hoặc hình chêm. Về mặt chuyên môn, hiện tượng này được chia thành hai nhóm chính: abfraction (mòn do lực nhai không đều hoặc nghiến răng) và abrasion (mòn do các tác động cơ học từ bên ngoài như chải răng sai cách).

2. Dấu hiệu nhận biết chính xác mòn cổ chân răng
Nắm rõ những dấu hiệu của vấn đề nha khoa này, sẽ giúp bạn chủ động hơn trong việc phòng tránh và điều trị. Dưới đây là một số dấu hiệu điển hình thường thấy ở những người đang gặp vấn đề cổ chân răng bị mòn:
- Sự xuất hiện của rãnh lõm: Đây là dấu hiệu dễ nhận thấy nhất. Bạn có thể quan sát thấy một đường rãnh nhỏ, nông hoặc sâu dần ở vị trí tiếp giáp giữa răng và nướu. Vết mòn này có thể có hình dạng chữ V hoặc hình chêm, đặc biệt rõ ràng ở răng nanh và răng tiền hàm.
- Cảm giác ê buốt, nhạy cảm: Khi lớp men răng bên ngoài bị mòn, lớp ngà răng bên trong (chứa hàng ngàn ống ngà nhỏ dẫn đến tủy răng) sẽ bị lộ ra. Lúc này, răng sẽ trở nên cực kỳ nhạy cảm với các kích thích từ bên ngoài như thức ăn, đồ uống nóng, lạnh, chua hoặc ngọt. Cơn ê buốt có thể chỉ thoáng qua hoặc kéo dài tùy thuộc vào mức độ mòn.

- Thay đổi màu sắc răng: Phần răng bị mòn sẽ có màu vàng đậm hơn so với các khu vực khác. Điều này là do lớp ngà răng (có màu vàng tự nhiên) bị lộ ra sau khi men răng (có màu trắng) bị mất đi.
- Nướu sưng đỏ, chảy máu: Tình trạng mòn răng có thể kết hợp với việc chải răng sai cách, gây tổn thương nướu, dẫn đến sưng đỏ và dễ chảy máu khi chải.
- Răng lung lay: Trong những trường hợp mòn răng nghiêm trọng, cấu trúc nâng đỡ răng có thể bị suy yếu, khiến răng trở nên lỏng lẻo và có nguy cơ gãy.
3. Nguyên nhân khiến cổ chân răng bị mòn
Mặc dù là vấn đề nha khoa khá nghiêm trọng, thế nhưng cổ chân răng bị mòn lại thường xuất phát từ những nguyên nhân thường ngày mà hầu hết nhiều người trong số chúng ta có thể mắc phải:
- Chải răng sai kỹ thuật: Việc dùng bàn chải lông cứng kết hợp với lực chải quá mạnh theo chiều ngang là nguyên nhân hàng đầu. Lực ma sát này dần bào mòn men răng ở vị trí cổ răng, nơi vốn đã rất mỏng.

- Thói quen nghiến răng: Lực siết mạnh và liên tục khi nghiến răng tạo ra áp lực lớn lên vùng cổ răng, gây nứt gãy và bào mòn men răng.
- Chế độ ăn uống: Thói quen ăn uống không lành mạnh như dùng nhiều thực phẩm, đồ uống có tính axit (nước ngọt có gas, nước chanh, rượu vang…), ăn vặt thường xuyên hoặc liên tục dùng đồ quá nóng/lạnh có thể làm men răng bị bào mòn. Lâu dần, những tác động này khiến cổ chân răng trở nên nhạy cảm, dễ tổn thương và tăng nguy cơ mòn răng.

- Sử dụng kem đánh răng có chất mài mòn cao: Một số loại kem đánh răng có chứa các hạt mài mòn mạnh, nếu sử dụng thường xuyên có thể làm mòn men răng.
4. Ảnh hưởng của vấn đề mòn cổ chân răng
Cổ chân răng bị mòn nếu không được phát hiện và có biện pháp xử lý kịp thời, có thể dẫn đến nhiều hệ quả tiêu cực, không chỉ về mặt thẩm mỹ, mà còn ảnh hưởng đến cả sức khỏe răng miệng:
4.1. Ê buốt dai dẳng và đau nhức
Khi lớp men răng bảo vệ bị mất đi, lớp ngà răng chứa hàng ngàn ống thần kinh siêu nhỏ sẽ bị lộ ra. Lúc này, bất kỳ tác động nào từ nhiệt độ (nóng, lạnh), vị chua hay ngọt cũng sẽ truyền thẳng đến tủy, gây ra những cơn ê buốt dữ dội và kéo dài, làm giảm đáng kể chất lượng cuộc sống và thói quen ăn uống của bạn.
4.2. Nguy cơ sâu răng và viêm tủy tăng cao
Khi tình trạng mòn cổ chân răng tiến triển, ăn sâu vào lớp ngà và tiến sát tủy răng, vi khuẩn trong khoang miệng có thể xâm nhập và gây ra những biến chứng nguy hiểm như:
- Viêm tủy cấp gây đau nhức dữ dội
- Chết tủy gây mất cảm giác
- Viêm quanh chóp chân răng dẫn đến hình thành ổ áp xe (ổ mủ)
Nếu không được điều trị, sâu răng sẽ ăn sâu vào tủy, dẫn đến viêm tủy và áp xe chân răng, gây đau đớn dữ dội và có thể phải nhổ bỏ răng. Nghiêm trọng hơn nữa là nhiễm trùng huyết, nguy hiểm sức khỏe toàn thân.

4.3. Tổn thương cấu trúc răng và nướu
Các rãnh mòn sâu có thể làm suy yếu cấu trúc răng, khiến răng trở nên giòn, dễ gãy, đặc biệt là ở vị trí cổ răng. Đồng thời, tình trạng mòn răng thường đi kèm với tụt nướu, làm lộ chân răng, gây mất thẩm mỹ và tăng nguy cơ mắc các bệnh về lợi như viêm nha chu.
4.4. Mất thẩm mỹ và sự tự tin
Khi vùng cổ răng bị mòn, bề mặt răng sẽ trở nên lõm sâu, lộ màu ngà vàng bên trong khiến răng nhìn xỉn màu, kém sáng tự nhiên. Đặc biệt, vùng nướu dễ bị tụt xuống dưới, làm lộ phần chân răng sẽ tạo cảm giác răng trông dài bất thường, kém hài hòa.
Chưa kể, những kẽ răng bị hở, tạo ra các khoảng trống tối màu được gọi là “lỗ đen”, ảnh hưởng nghiêm trọng đến thẩm mỹ, nhất là khi cười hoặc giao tiếp.
Những người bị mòn cổ chân răng sẽ dần mất tự tin, ngại cười, ngại nói chuyện hoặc luôn che miệng khi giao tiếp. Điều này ảnh hưởng tiêu cực đến tâm lý, công việc và các mối quan hệ xã hội, đặt biệt là những người làm các công việc liên quan đến nghệ thuật, giáo viên, MC…

4.5. Chi phí điều trị phức tạp
Khi mòn cổ chân răng tiến triển nặng, các phương pháp điều trị đơn giản như trám răng sẽ không còn hiệu quả. Bạn sẽ phải thực hiện các thủ thuật phức tạp hơn như chữa tủy, bọc răng sứ hoặc thậm chí là nhổ răng và trồng răng implant, tốn kém nhiều thời gian, công sức và chi phí.
5. Cách điều trị mòn cổ chân răng
Để khắc phục hiệu quả tình trạng mòn cổ chân răng, các nha sĩ sẽ đưa ra phác đồ điều trị phù hợp với từng mức độ tổn thương, cũng như từng nguyên nhân gây ra vấn đề nha khoa này.
5.1. Trám răng
Đây là phương pháp phổ biến nhất cho các trường hợp mòn ở giai đoạn đầu, khi vết mòn còn nhỏ, chưa ảnh hưởng sâu đến tủy.
- Bước 1: Thăm khám và vệ sinh: Bác sĩ sẽ kiểm tra mức độ mòn, làm sạch khoang miệng và lấy cao răng. Điều này giúp loại bỏ vi khuẩn, tạo bề mặt sạch sẽ để vật liệu trám bám dính tốt nhất.
- Bước 2: Chuẩn bị và tạo hình xoang trám: Sau khi gây tê cục bộ, bác sĩ sẽ làm sạch phần răng bị mòn. Tùy vào mức độ mòn, bác sĩ có thể tạo hình xoang trám để tăng độ lưu giữ cho vật liệu trám.
- Bước 3: Đặt vật liệu trám: Bác sĩ sử dụng vật liệu trám chuyên dụng (thường là composite) có màu sắc tương đồng với màu răng thật để lấp đầy rãnh lõm.
- Bước 4: Chiếu đèn quang trùng hợp: Đèn LED chuyên dụng sẽ được chiếu vào vật liệu trám để làm cứng và kết dính vật liệu vào răng.
- Bước 5: Hoàn thiện: Bác sĩ sẽ mài nhẵn, đánh bóng để miếng trám trở nên tự nhiên, không gây cộm, khó chịu khi ăn nhai.

5.2. Chữa tủy kết hợp bọc sứ
Đây là giải pháp toàn diện cho các trường hợp mòn răng nghiêm trọng đã ăn sâu vào tủy, gây đau nhức hoặc gãy ngang thân răng.
- Bước 1: Chữa tủy: Bác sĩ sẽ loại bỏ phần tủy răng bị tổn thương, làm sạch và trám bít ống tủy để ngăn ngừa nhiễm trùng.
- Bước 2: Mài cùi răng: Phần răng thật sau khi chữa tủy sẽ được mài nhỏ lại để tạo cùi răng, làm trụ cho mão sứ.
- Bước 3: Lấy dấu hàm và chế tác sứ: Bác sĩ lấy dấu hàm để gửi về phòng labo chế tác mão sứ với hình dáng, kích thước và màu sắc giống hệt răng thật.
- Bước 4: Gắn mão sứ và hoàn thiện: Mão sứ sẽ được gắn cố định lên cùi răng bằng keo dán nha khoa chuyên dụng. Bác sĩ kiểm tra lại khớp cắn để đảm bảo người bệnh ăn nhai thoải mái, không bị cộm.

6. Cách phòng ngừa mòn cổ chân răng
Phòng bệnh luôn tốt hơn chữa bệnh. Vì vậy, việc áp dụng những thói quen chăm sóc răng miệng đúng cách là chìa khóa để bảo vệ men răng và ngăn ngừa tình trạng mòn cổ chân răng ngay từ đầu. Dưới đây là những lời khuyên hữu ích từ các chuyên gia tại Nha khoa Thẩm mỹ Quốc tế Hải Oanh, giúp bạn bảo vệ nụ cười khỏe mạnh lâu dài.
Chăm sóc răng miệng đúng cách
Kỹ thuật chải răng là yếu tố quan trọng nhất. Thay vì chải ngang với lực mạnh, bạn nên chải dọc hoặc theo chuyển động tròn để làm sạch mảng bám mà không gây tổn thương men răng ở vùng cổ răng. Hãy luôn sử dụng bàn chải lông mềm và thay mới sau mỗi 3 tháng. Đồng thời, nên chọn kem đánh răng có chứa fluoride để tăng cường độ cứng cho men răng.

Điều chỉnh thói quen và lối sống
Những thói quen tưởng chừng vô hại lại có thể là nguyên nhân tiềm ẩn gây mòn răng:
- Hạn chế nghiến răng: Lực siết mạnh và liên tục từ thói quen nghiến răng gây áp lực lớn lên các răng, dẫn đến rạn nứt và mòn men răng. Vì vậy nếu đang có có thói quen này, bạn cần dần điều chỉnh để tránh làm tổn thương chân răng.
- Tránh cắn vật cứng: Thói quen cắn móng tay hay cắn các vật cứng khác tạo ra lực tác động không mong muốn, gây tổn thương cho men răng. Thay vì dùng răng để cắn, bạn nên ưu tiên dùng các loại bấm móng chuyên dụng, sẽ giảm tải bớt áp lực cho răng.
- Chú ý đến chế độ ăn uống: Hạn chế các loại thực phẩm và đồ uống có tính axit cao có thể làm mềm men răng, khiến chúng dễ bị bào mòn hơn.
Thăm khám nha khoa định kỳ
Khám răng định kỳ là cách tốt nhất để phòng ngừa và phát hiện sớm các vấn đề:
- Bác sĩ sẽ kiểm tra tình trạng khớp cắn, điều chỉnh các vấn đề bất thường (nếu có) để lực nhai được phân bổ đều, không gây áp lực lên vùng cổ răng.
- Đối với các trường hợp có răng giả tháo lắp, bác sĩ sẽ tư vấn và điều chỉnh để giảm ma sát, hạn chế tổn thương.
- Ngoài ra, việc khám định kỳ cũng giúp loại bỏ mảng bám, vôi răng, giữ cho răng miệng luôn sạch sẽ và khỏe mạnh.

7. Khám và điều trị mòn cổ chân răng hiệu quả tại Nha khoa Thẩm mỹ Quốc tế Hải Oanh
Khi những cơn ê buốt vì mòn cổ chân răng làm phiền cuộc sống, việc tìm kiếm một địa chỉ nha khoa uy tín là điều vô cùng cần thiết. Tại Nha khoa Thẩm mỹ Quốc tế Hải Oanh, chúng tôi không chỉ mang đến các giải pháp điều trị chuyên sâu, mà còn cam kết mang lại sự an tâm và kết quả tốt nhất cho khách hàng.
Đội ngũ chuyên gia giàu kinh nghiệm
Với nhiều năm kinh nghiệm trong ngành nha khoa, đội ngũ bác sĩ tại Nha khoa Thẩm mỹ Quốc tế Hải Oanh đã thực hiện thành công hàng ngàn ca điều trị mòn cổ chân răng từ nhẹ đến phức tạp. Sự am hiểu sâu sắc về cấu trúc răng miệng cùng kinh nghiệm thực tế giúp chúng tôi chẩn đoán chính xác nguyên nhân và đưa ra phác đồ điều trị cá nhân hóa, phù hợp nhất với tình trạng của bạn.

Đội ngũ y bác sĩ tại nha khoa Hải Oanh đều là bác sĩ chuyên môn cao, có nhiều năm kinh nghiệm,
luôn tận tâm và hết mình vì bệnh nhân
Công nghệ hiện đại và quy trình chuẩn quốc tế
Chúng tôi tự hào là một trong những phòng khám tiên phong trong việc ứng dụng các công nghệ nha khoa tiên tiến nhất trên thế giới. Các thiết bị hiện đại như máy scan 3D, máy laser, và hệ thống cấy ghép mô tự thân được nhập khẩu trực tiếp từ Châu Âu, đảm bảo quá trình điều trị diễn ra nhanh chóng, nhẹ nhàng và hiệu quả tối ưu. Mọi quy trình từ thăm khám, chẩn đoán đến điều trị đều tuân thủ các tiêu chuẩn an toàn y tế quốc tế, mang lại sự an tâm tuyệt đối cho khách hàng.

Nhờ sở hữu những máy móc - trang thiết bị hiện đại đã giúp cho các bác sĩ có thể mang đến trải nghiệm chữa trị tốt nhất cho khách hàng
Giải pháp toàn diện và chuyên sâu
Nha khoa Thẩm mỹ Quốc tế Hải Oanh cung cấp đầy đủ các giải pháp điều trị mòn cổ chân răng, bao gồm:
- Trám răng thẩm mỹ: Sử dụng vật liệu composite cao cấp, phục hồi hoàn hảo hình dáng răng và loại bỏ cảm giác ê buốt.
- Bọc răng sứ: Giải pháp toàn diện cho các trường hợp mòn răng nặng, giúp khôi phục chức năng ăn nhai và mang lại nụ cười hoàn hảo.
Hy vọng những thông tin trên đã giúp bạn có cái nhìn toàn diện hơn về mòn cổ chân răng và tầm quan trọng của việc điều trị sớm. Đừng để những cơn ê buốt kéo dài làm ảnh hưởng đến cuộc sống của bạn. Hãy đến với Nha khoa Thẩm mỹ Quốc tế Hải Oanh để được thăm khám và điều trị kịp thời, bảo vệ sức khỏe răng miệng của bạn một cách tốt nhất.
---------------------------------------------------------------------------------------
Nha Khoa Thẩm Mỹ Quốc Tế Hải Oanh - Tạo thương hiệu từ chất lượng!
- Địa chỉ: Ngã ba đường 188, Khu đô thị Tân Việt Bắc - Mạo Khê - Đông Triều - Quảng Ninh.
- Hotline: 0915.151.191 - 0818.28.28.29
- Website: https://nhakhoathammyquoctehaioanh.com/
- Zalo OA: https://zalo.me/haioanhdental
