[HỎI ĐÁP] Răng khôn đang bị sưng đau có nên nhổ không?
1. Nguyên nhân mọc răng khôn gây đau nhức
Cơn đau buốt, âm ỉ khi răng khôn bắt đầu nhú lên là nỗi ám ảnh của không ít người. Để kiểm soát và giải quyết triệt để tình trạng này, điều quan trọng là phải hiểu rõ nguyên nhân gốc rễ. Các chuyên gia nha khoa xác định có ba nguyên nhân chính gây ra cảm giác đau nhức khi mọc răng khôn.
1.1. Răng khôn tác động lên nướu và mô mềm
Răng khôn là chiếc răng cuối cùng xuất hiện trên cung hàm. Khi mọc, chúng phải tự tìm cách xuyên qua lớp nướu dày. Quá trình này gây ra một áp lực lớn lên các mô mềm xung quanh, dẫn đến hiện tượng sưng tấy, viêm và đau nhức. Tình trạng này có thể kéo dài vài ngày và thường tự thuyên giảm khi răng đã nhú lên hẳn. Tuy nhiên, nếu cơn đau kéo dài và dữ dội, đó có thể là dấu hiệu của một vấn đề nghiêm trọng hơn.

1.2. Xương hàm thiếu không gian, gây mọc lệch và chèn ép
Đây là nguyên nhân phổ biến nhất gây đau khi mọc răng khôn. Do xương hàm đã phát triển gần như hoàn chỉnh, không còn đủ khoảng trống cho chiếc răng số 8. Điều này buộc răng khôn phải mọc lệch, mọc xiên, hoặc thậm chí là mọc ngầm. Quá trình này tạo ra lực đẩy mạnh lên chân răng số 7 bên cạnh, gây ra cảm giác đau nhức kéo dài, thậm chí làm xô lệch toàn bộ hàm răng. Nếu răng khôn bị kẹt dưới nướu, không thể mọc lên được, áp lực này sẽ càng gia tăng, gây đau đớn dữ dội hơn.
1.3. Viêm nhiễm do khó vệ sinh
Vì nằm ở vị trí trong cùng của khoang miệng, răng khôn rất khó để vệ sinh sạch sẽ bằng bàn chải thông thường. Thức ăn dễ bị mắc kẹt vào các kẽ hở giữa răng khôn và răng số 7, tạo điều kiện thuận lợi cho vi khuẩn phát triển.

Tình trạng này có thể dẫn đến sâu răng, viêm nhiễm, hoặc thậm chí là áp xe. Nếu không được xử lý kịp thời, ổ viêm có thể lan rộng sang các răng lân cận hoặc gây ra các biến chứng nghiêm trọng khác, khiến cơn đau trở nên dai dẳng và nguy hiểm.
2. Răng khôn đang bị sưng đau có nên nhổ không?
Mặc dù mong muốn nhổ bỏ chiếc răng "phiền toái" này ngay lập tức, các chuyên gia nha khoa luôn khuyến cáo không nên thực hiện nhổ răng khi tình trạng viêm nhiễm chưa được kiểm soát.
2.1. Lý do không nên nhổ răng khôn khi đang sưng đau
Việc nhổ răng khi nướu hoặc mô xung quanh đang bị sưng tấy, nhiễm trùng có thể dẫn đến nhiều rủi ro nghiêm trọng:
- Tăng nguy cơ nhiễm trùng lan rộng: Khi nhổ răng, vi khuẩn từ ổ viêm có thể theo đường máu hoặc lây lan sang các mô lân cận, gây ra nhiễm trùng nặng hơn, thậm chí dẫn đến các biến chứng nguy hiểm như viêm tủy xương hàm.
- Thuốc tê kém hiệu quả: Môi trường viêm nhiễm có thể làm giảm tác dụng của thuốc gây tê. Điều này khiến bệnh nhân cảm thấy đau đớn nhiều hơn trong quá trình nhổ, gây ra trải nghiệm khó chịu và lo lắng.
- Khó khăn trong kiểm soát chảy máu: Tình trạng viêm có thể làm tăng lượng máu chảy, gây khó khăn cho quá trình cầm máu sau khi nhổ, kéo dài thời gian phục hồi.

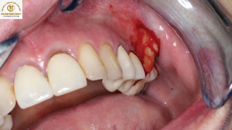
Răng đang bị sưng đau nếu cố tình nhổ sẽ gây ảnh hưởng đến sức khoẻ của bệnh nhân
2.2. Giải pháp đúng đắn khi răng khôn bị sưng đau
Thay vì nhổ răng ngay lập tức, bác sĩ sẽ thực hiện một phác đồ điều trị an toàn và khoa học:
- Kiểm soát viêm nhiễm: Bác sĩ sẽ kê đơn thuốc kháng sinh và thuốc giảm đau để điều trị dứt điểm tình trạng viêm.
- Làm sạch ổ viêm: Tiến hành vệ sinh, loại bỏ các cặn thức ăn và mảng bám tích tụ tại vùng răng khôn.
- Hẹn lịch nhổ: Khi tình trạng sưng đau đã được kiểm soát hoàn toàn, vết thương hết viêm nhiễm, bác sĩ sẽ tiến hành nhổ răng một cách an toàn và hiệu quả, đảm bảo trải nghiệm tốt nhất cho bệnh nhân.
3. Nha khoa Thẩm mỹ Quốc tế Hải Oanh nhổ răng khôn không đau
Khi nỗi sợ hãi về việc nhổ răng khôn cản trở bạn, hãy để chúng tôi giúp bạn thay đổi. Tại Nha khoa Thẩm mỹ Quốc tế Hải Oanh, chúng tôi mang đến dịch vụ nhổ răng khôn không đau với quy trình chuyên nghiệp, an toàn và hiệu quả:
Cùng lắng nghe Hồng Anh chia sẻ sau khi trải nghiệm nhổ răng khôn tại nha khoa Hải Oanh
- Kỹ thuật hiện đại: Chúng tôi áp dụng công nghệ tiên tiến, giúp quá trình nhổ răng diễn ra nhanh chóng, nhẹ nhàng, giảm thiểu tối đa cảm giác đau và sưng sau phẫu thuật.
- Nha Khoa Hải Oanh nhổ răng khôn bằng công nghệ máy siêu âm Piezotome – Giải pháp lý tưởng cho người sợ đau. Không giống như phương pháp nhổ răng truyền thống, máy Piezotome sử dụng sóng siêu âm để tách dây chằng quanh răng một cách êm ái, giúp làm lung lay chân răng mà không cần tác động mạnh. Nhờ đó, quá trình lấy răng ra khỏi ổ răng trở nên nhanh chóng, nhẹ nhàng và ít gây sang chấn mô mềm.

- Bác sĩ chuyên môn cao: Đội ngũ bác sĩ giàu kinh nghiệm, tận tâm, luôn lắng nghe và thấu hiểu tâm lý khách hàng, đảm bảo bạn cảm thấy thoải mái và an tâm trong suốt quá trình điều trị.
- Trước khi nhổ khách hàng đều được chụp Film CT-ConeBeam xác định chính xác tình trạng răng cũng như xương hàm để giúp bác sĩ dễ dàng trong việc thực hiện nhổ răng khôn mọc khó (lệch, ngầm...) cho khách.
- Môi trường vô trùng: Mọi thiết bị và dụng cụ đều được tiệt trùng tuyệt đối, đảm bảo an toàn, ngăn ngừa nhiễm khuẩn và bảo vệ sức khỏe của bạn.

Chúng tôi cam kết mang lại một trải nghiệm nhổ răng khôn hoàn toàn khác biệt, giúp bạn loại bỏ nỗi lo và sớm sở hữu một hàm răng khỏe mạnh.
Tóm lại, việc răng khôn đang bị sưng đau có nên nhổ không cần được đánh giá một cách thận trọng, không nên vội vàng. Cơn đau có thể là dấu hiệu của một bệnh lý tiềm ẩn, đòi hỏi phải được điều trị ổn định trước khi nhổ bỏ. Thay vì tự đưa ra quyết định, bạn hãy tìm đến sự tư vấn chuyên nghiệp. Đội ngũ bác sĩ giàu kinh nghiệm tại Nha khoa Thẩm mỹ Quốc tế Hải Oanh sẽ giúp bạn có cái nhìn toàn diện về tình trạng của chiếc răng, từ đó đưa ra phác đồ điều trị an toàn và hiệu quả nhất, đảm bảo sức khỏe và sự an tâm tuyệt đối cho bạn.
Tại Nha Khoa Thẩm Mỹ Quốc Tế Hải Oanh, quá trình nhổ răng khôn được thực hiện bởi đội ngũ bác sĩ giàu kinh nghiệm, ứng dụng công nghệ Piezotome hiện đại – giúp bạn thoải mái và yên tâm tuyệt đối.
Đừng chờ đến khi răng khôn gây đau nhức mới tìm cách xử lý. Hãy đến thăm khám để được tư vấn lộ trình nhổ răng nhẹ nhàng – an toàn – chuẩn y khoa!
Đặt lịch ngay hôm nay để được thăm khám và tư vấn!
---------------------------------------------------------------------------------------
Nha Khoa Thẩm Mỹ Quốc Tế Hải Oanh - Tạo thương hiệu từ chất lượng!
- Địa chỉ: Ngã ba đường 188, Khu đô thị Tân Việt Bắc - Mạo Khê - Đông Triều - Quảng Ninh.
- Hotline: 0915.151.191 - 0818.28.28.29
- Website: https://nhakhoathammyquoctehaioanh.com/
- Zalo OA: https://zalo.me/haioanhdental
