Răng khôn là gì? | Giải mã chiếc răng cuối cùng trên cung hàm và những điều cần lưu ý
1. Răng khôn là gì?
Răng khôn (hay còn gọi là răng số 8, răng hàm lớn thứ ba) là chiếc răng mọc cuối cùng trên cung hàm, thường xuất hiện ở những người thuộc độ tuổi 17 đến 25. Sự xuất hiện muộn và thường xuyên gây rắc rối, khiến răng khôn trở thành một trong những vấn đề nha khoa được quan tâm nhất.

Thông thường, một người có đủ bộ răng vĩnh viễn là 32 chiếc, bao gồm 28 răng thông thường và thêm 4 chiếc răng khôn. Bốn chiếc răng khôn này, hay còn gọi là răng số 8, nằm ở vị trí cuối cùng của cung hàm, mỗi chiếc ở một góc phần tư (trên-trái, trên-phải, dưới-trái, dưới-phải). Chúng thường mọc sau 28 chiếc răng còn lại.

Ảnh minh hoạ cung hàm răng của chúng ta
2. Nguyên nhân răng số 8 gây phiền toái và các kiểu mọc lệch của răng khôn
Vấn đề phát sinh khi răng khôn mọc lên là do xương hàm của con người ngày càng nhỏ lại, không còn đủ chỗ cho chiếc răng cuối cùng này. Khi thiếu không gian, răng khôn không thể mọc thẳng theo hướng bình thường mà sẽ có xu hướng tìm cách mọc lệch, gây ra nhiều biến chứng nguy hiểm. Dưới đây là các kiểu mọc lệch phổ biến:
- Mọc thẳng nhưng không đủ chỗ: Răng khôn mọc thẳng nhưng bị kẹt lại dưới nướu hoặc một phần nướu che phủ, gây đau nhức và khó vệ sinh.
- Mọc nghiêng: Răng khôn mọc lệch và đâm thẳng vào răng số 7 (răng hàm lớn thứ hai) ngay bên cạnh. Tình trạng này có thể gây tổn thương, sâu răng hoặc xô lệch các răng khác.
- Mọc ngầm: Răng khôn nằm hoàn toàn dưới nướu và xương hàm, không thể nhú lên được. Răng ngầm có thể gây đau âm ỉ, u nang và ảnh hưởng nghiêm trọng đến xương hàm.

3. Biến chứng do răng khôn gây ra
Chiếc răng số 8 (răng khôn) nếu mọc lệch hoặc mọc bất thường có thể trở thành “thủ phạm” gây ra hàng loạt biến chứng nghiêm trọng, ảnh hưởng trực tiếp đến sức khỏe răng miệng và toàn thân:
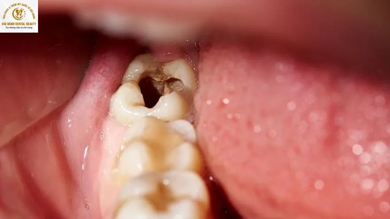
3.1. Sâu răng
Do nằm ở vị trí trong cùng của hàm, răng số 8 rất khó được làm sạch hoàn toàn sau mỗi bữa ăn. Thức ăn thừa dễ mắc kẹt, tạo môi trường lý tưởng cho vi khuẩn sinh sôi. Nguy hiểm hơn, nếu răng khôn chỉ mọc một phần hoặc mọc lệch đâm vào răng bên cạnh, nguy cơ sâu răng, viêm nhiễm tăng cao. Lâu ngày, tình trạng này có thể dẫn đến những cơn đau nhức dữ dội, ảnh hưởng nghiêm trọng đến sinh hoạt hàng ngày.
3.2. Viêm lợi
Sự tích tụ vi khuẩn và mảng bám quanh răng khôn là nguyên nhân chính gây viêm lợi. Người bệnh có thể gặp phải các triệu chứng như đau, sưng đỏ, sốt, hơi thở có mùi hôi, thậm chí cứng hàm khiến việc há miệng trở nên khó khăn. Nếu tình trạng viêm lợi tái đi tái lại nhiều lần mà không được điều trị triệt để, các lần tái phát sau sẽ nghiêm trọng hơn, tiềm ẩn nhiều rủi ro cho sức khỏe.

3.3. Hủy hoại xương và răng kế cận
Khi răng số 8 mọc lệch chèn ép răng bên cạnh, chúng có thể gây tiêu xương, làm răng kế cận lung lay, hư hại nặng và buộc phải nhổ bỏ. Cơn đau có thể âm ỉ kéo dài hoặc bùng phát dữ dội, gây khó chịu liên tục.
Cảnh báo: Nếu những biến chứng từ răng số 8 không được xử lý kịp thời, vi khuẩn có thể lan rộng sang mang tai, má, mắt, cổ… và trong trường hợp nghiêm trọng, thậm chí đe dọa tính mạng.
4. Có nên nhổ răng số 8 không?
Quyết định nhổ hay giữ lại những chiếc răng này không đơn thuần chỉ là đáp án CÓ hay KHÔNG, mà cần dựa trên nhiều yếu tố chuyên môn và tình trạng răng miệng tổng thể.
4.1. Khi nào bạn nên nhổ răng khôn?
Nhổ răng khôn được xem là giải pháp tối ưu trong các trường hợp sau để ngăn ngừa biến chứng và bảo vệ sức khỏe răng miệng:
- Răng khôn mọc lệch, mọc ngầm: Đây là tình trạng phổ biến nhất, khi răng khôn mọc nghiêng, đâm vào răng số 7 bên cạnh hoặc kẹt dưới xương hàm. Tình trạng này gây ra đau nhức dai dẳng, viêm nhiễm tái phát và có thể làm xô lệch các răng khác.

Răng khôn mặc lệch ảnh hưởng đến răng số 7 ăn nhai chính nên nhổ để bảo vệ răng.
- Có nguy cơ gây hại cho răng lân cận: Khi có khe hở giữa răng khôn và răng số 7, thức ăn dễ bị mắc kẹt, rất khó vệ sinh. Theo thời gian, điều này sẽ gây sâu răng số 7 hoặc viêm nha chu, ảnh hưởng nghiêm trọng đến chiếc răng quan trọng này.
- Không có răng đối diện ăn khớp: Răng khôn mọc thẳng nhưng không có răng đối diện để ăn khớp sẽ bị trồi dài xuống hàm đối diện, gây nhồi nhét thức ăn, lở loét nướu và làm sai lệch khớp cắn.
- Hình dạng bất thường: Răng khôn mọc thẳng nhưng có hình dạng dị dạng, kích thước nhỏ hoặc bất thường cũng dễ tạo kẽ hở với răng bên cạnh, gây tích tụ mảng bám, tăng nguy cơ sâu răng và viêm nha chu.
- Răng khôn có bệnh lý: Răng khôn bị sâu nặng, viêm tủy hoặc mắc các bệnh nha chu nghiêm trọng mà không thể điều trị hiệu quả.

Răng khôn bị sâu, viêm tuỷ đau ảnh hưởng đến việc ăn nhai cũng như sinh hoạt hàng ngày
- Phục vụ mục đích điều trị khác: Trong một số trường hợp chỉnh hình, làm răng giả (cầu răng) hoặc khi răng khôn là nguyên nhân gây một số bệnh lý toàn thân khác, bác sĩ sẽ chỉ định nhổ.
4.2. Những trường hợp không nhất thiết phải nhổ răng khôn
Răng khôn được khuyến khích là nên nhổ, tuy nhiên không phải tất cả mọi trường hợp đều phải nhổ răng. Một số trường hợp sẽ không hoặc chưa cần thiết thực hiện thủ thuật nha khoa này. Cụ thể:
- Răng khỏe mạnh, mọc đúng vị trí và khớp với răng đối diện
- Người nhiễm các bệnh viêm cấp tính như: viêm lợi, viêm khớp răng, viêm xoang… nếu nhổ răng khôn trong giai đoạn này có thể làm tăng nguy cơ viêm nhiễm. Với các trường hợp này cần điều trị khỏi các bệnh trước, sau đó thực hiện nhổ răng để đảm bảo an toàn.
- Người mắc các bệnh về tim mạch hay một số bệnh liên quan đến thần kinh không nên thực hiện nhổ răng khôn vì có thể gây căng thẳng, lo âu, khiến bệnh nhân gặp nguy hiểm.

- Phụ nữ mang thai: Khi nhổ răng khôn sẽ phải sử dụng thuốc tê, thuốc giảm đau cho nên có thể ảnh hưởng tới sức khỏe của thai nhi.
- Phụ nữ đang trong kỳ kinh nguyệt: Cơ thể của phụ nữ khi đến kỳ kinh nguyệt có sự thay đổi về nội tiết tố, cho nên nếu nhổ răng số 8 trong thời điểm này có thể dẫn đến giảm khả năng đông máu, tăng nguy cơ chảy máu sau khi nhổ răng.
- Bệnh nhân gặp các vấn đề về bạch cầu nếu nhổ răng sẽ dễ gặp các tình trạng chảy máu, viêm nhiễm, rất khó điều trị thậm chí có thể gây tử vong.
- Bệnh nhận đã từng điều trị tia X vùng hàm mặt cũng không nên nhổ răng khôn, bởi vì khi điều trị tia X việc nhổ răng có thể gây hoại tử xương hàm.
5. Nên nhổ răng số 8 vào thời điểm nào?
Nhổ răng khôn được xem là giải pháp triệt để cho nhiều vấn đề, nhưng việc lựa chọn đúng thời điểm sẽ giúp quá trình phẫu thuật diễn ra an toàn, ít đau và hồi phục nhanh chóng. Dưới đây là những phân tích chi tiết từ chuyên gia để bạn đưa ra quyết định chính xác nhất.
5.1. Độ tuổi lý tưởng để nhổ răng khôn
Theo các chuyên gia nha khoa, độ tuổi từ 18 đến 25 được xem là "thời điểm vàng" để nhổ răng khôn. Lý do là vì:
- Chân răng chưa phát triển hoàn chỉnh: Ở độ tuổi này, chân răng khôn thường mới hình thành được 2/3. Điều này giúp quá trình nhổ răng diễn ra dễ dàng hơn, ít gây tổn thương đến cấu trúc xương hàm và dây thần kinh.
- Xương hàm mềm, đàn hồi tốt: Xương hàm của người trẻ chưa cứng và đặc như người lớn tuổi, giúp việc tách và nhổ răng diễn ra thuận lợi.
- Tốc độ lành thương nhanh: Khả năng hồi phục của cơ thể ở người trẻ rất tốt, giúp vết thương mau lành và hạn chế các biến chứng hậu phẫu.

5.2. Rủi ro khi nhổ răng khôn ở độ tuổi muộn hơn
Khi bạn trên 35 tuổi, việc nhổ răng khôn sẽ gặp phải nhiều khó khăn và rủi ro hơn:
- Xương hàm cứng và đặc: Quá trình phẫu thuật phức tạp hơn, dễ gây sang chấn và tiềm ẩn nguy cơ gãy xương hàm.
- Chân răng phát triển hoàn thiện: Chân răng đã ăn sâu và bám chắc vào xương, làm tăng nguy cơ tổn thương dây thần kinh hoặc các cấu trúc giải phẫu quan trọng.
- Hồi phục chậm: Với người cao tuổi, quá trình lành vết thương diễn ra chậm, khiến thời gian hồi phục kéo dài và tăng nguy cơ nhiễm trùng.
6. Chăm sóc sau khi nhổ răng số 8
Quá trình chăm sóc sau khi nhổ răng khôn đóng vai trò quyết định đến việc vết thương có lành nhanh, an toàn và không xảy ra biến chứng hay không. Dưới đây là hướng dẫn chi tiết từ chuyên gia để bạn an tâm vượt qua giai đoạn hậu phẫu, đảm bảo sức khỏe răng miệng tốt nhất.
24 giờ đầu tiên: Giai đoạn quan trọng nhất
Đây là thời điểm then chốt để cầm máu và kiểm soát sưng đau.
- Kiểm soát chảy máu: Sau khi nhổ răng, hãy cắn chặt miếng gạc vô trùng trong khoảng 30 - 60 phút. Lực ép này sẽ giúp tạo cục máu đông, yếu tố quan trọng nhất để cầm máu và bảo vệ ổ răng. Tuyệt đối không thay gạc liên tục để tránh làm tan cục máu đông.
- Giảm đau và sưng: Cảm giác đau nhẹ và sưng tấy là phản ứng hoàn toàn bình thường. Bạn hãy dùng túi chườm lạnh (bọc trong khăn) đặt lên má, khu vực đối diện với vị trí nhổ răng. Chườm trong 15 - 20 phút, sau đó nghỉ 15 - 20 phút và lặp lại liên tục trong 24 giờ đầu để giảm sưng hiệu quả.

- Uống thuốc theo toa: Dùng thuốc giảm đau và kháng sinh đúng theo chỉ định của bác sĩ để kiểm soát cơn đau và phòng ngừa nhiễm trùng.
- Những điều tuyệt đối không làm: Không súc miệng mạnh, không nhổ nước bọt, không dùng ống hút hay mút bất cứ thứ gì. Những hành động này có thể làm cục máu đông bị bung ra, dẫn đến tình trạng viêm ổ răng khô (dry socket) gây đau đớn dữ dội và kéo dài.
Sau 24 giờ đầu: Duy trì và hồi phục
Sau 24h kể từ khi kết thúc quá trình nhổ răng số 8, bạn cần thực hiện một số vấn đề sau:
- Vệ sinh răng miệng: Sau 24 giờ, bạn có thể đánh răng nhẹ nhàng, nhưng cần tránh chải trực tiếp vào vị trí nhổ răng. Súc miệng nhẹ nhàng bằng nước muối sinh lý ấm hoặc nước súc miệng được bác sĩ chỉ định để giữ vết thương sạch sẽ.
- Chế độ ăn uống: Ưu tiên các loại thức ăn mềm, lỏng, dễ nuốt như cháo, súp, sữa chua, sinh tố. Tránh hoàn toàn các thực phẩm cứng, dai, cay nóng và đồ uống có cồn, ga để không gây kích ứng vết thương.

- Nghỉ ngơi hợp lý: Hạn chế vận động mạnh, làm việc nặng và dành thời gian nghỉ ngơi để cơ thể phục hồi tốt nhất.
Như vậy từ những thông tin được chia sẻ có thể nhận thấy việc hiểu rõ răng khôn là gì sẽ giúp bạn nhận biết sớm những dấu hiệu bất thường và không nên chủ quan trước những cơn đau. Răng số 8 không phải lúc nào cũng cần nhổ, nhưng việc theo dõi và đưa ra quyết định đúng đắn là rất cần thiết để phòng tránh các biến chứng nguy hiểm. Để có lời khuyên chính xác nhất cho tình trạng răng khôn của mình, hãy đến thăm khám với các chuyên gia tại Nha khoa Thẩm mỹ Quốc tế Hải Oanh ngay hôm nay.
Nha Khoa Thẩm Mỹ Quốc Tế Hải Oanh - Tạo thương hiệu từ chất lượng!
- Địa chỉ: Ngã ba đường 188, Khu đô thị Tân Việt Bắc - Mạo Khê - Đông Triều - Quảng Ninh.
- Hotline: 0915.151.191 - 0818.28.28.29
- Website: https://nhakhoathammyquoctehaioanh.com/
- Zalo OA: https://zalo.me/haioanhdental
