[GIẢI ĐÁP] Trám răng sâu có đau không? Địa chỉ trám răng sâu hiệu quả, an toàn
1. Trám răng là gì?
Trám răng (hay còn gọi là hàn răng) là một kỹ thuật nha khoa sử dụng vật liệu nhân tạo như composite, Sandwich, GIC, v.vv.. để bổ sung vào phần mô răng bị thiếu do sâu răng, sứt mẻ, vỡ, mòn hoặc khoảng hở giữa các răng.... nhằm khôi phục lại hình dáng cũng như chức năng ăn nhai của răng.

2. Trường hợp nên trám răng sâu
Tuỳ vào tình trạng răng của mỗi người mà khi thăm khám bác sĩ sẽ tư vấn là có nên trám hay không. Trong trường hợp bạn đang gặp phải những bệnh lý về răng miệng như: sâu răng, chấn thương răng, răng bị bào mòn thì bác sĩ sẽ chỉ định trám răng.
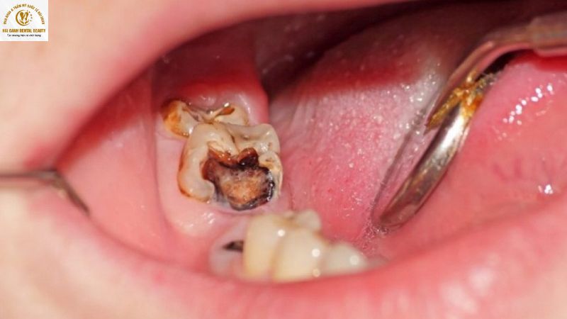
2.1. Răng sâu
Sâu răng là một tình trạng không hiếm gặp và thường xuyên xảy ra với cả người lớn và trẻ em. Trong quá trình ăn uống, sinh hoạt, bạn không chăm sóc răng miệng đúng cách thì vi khuẩn sẽ xâm nhập và tàn phá men răng, gây ra tình trạng sâu răng. Những lỗ sâu răng khi được khắc phục kịp thời bằng phương pháp trám răng sẽ giúp cho:
- Răng không còn đau nhức, khó chịu
- Răng được thẩm mỹ hơn
- Không gây ra những biến chứng nghiêm trọng khác
2.2. Răng bị mẻ
Trong một vài trường hợp không mong muốn như tai nạn, ăn các loại thức ăn quá cứng… răng có thể bị gãy vỡ, sứt mẻ. Nếu không can thiệp đúng lúc thì sẽ ảnh hưởng đến thẩm mỹ, khả năng ăn nhai của bệnh nhân. Thậm chí nếu để lâu dài, có thể là nguyên nhân gián tiếp gây ra những nền bệnh khác cho răng miệng.
2.3. Răng bị bào mòn
Bắt nguồn từ những thói quen không tốt như: vệ sinh răng không đúng cách, nghiến răng, răng siết chặt… có nguy cơ dẫn đến tình trạng mòn cổ chân răng. Khi răng bị bào mòn thì răng sẽ dễ gặp phải tình trạng ê buốt, nhạy cảm, lõm chén răng… Lúc này, trám răng sẽ giúp bảo vệ tủy răng và ngà răng bên trong.
2.4. Răng thưa
Răng thưa là tình trạng khe hở giữa các răng lớn hơn bình thường. Điều này có thể dẫn đến nhiều vấn đề như: Dễ mắc kẹt thức ăn, gây hôi miệng và sâu răng; khó khăn khi vệ sinh răng miệng; ảnh hưởng đến thẩm mỹ. Trám răng có thể giúp thu hẹp khe hở giữa các răng, cải thiện chức năng ăn nhai và mang lại sự tự tin cho bệnh nhân.

Lưu ý: Trám răng không phải là giải pháp cho tất cả các vấn đề về răng miệng. Trong một số trường hợp, bạn có thể cần phải thực hiện các biện pháp điều trị khác như bọc răng sứ hoặc nhổ răng. Ngoài ra, bạn cũng nên đi khám nha khoa định kỳ 6 tháng một lần để phát hiện sớm các vấn đề về răng miệng và được tư vấn trám răng kịp thời.
3. Trám răng có đau không?
Quá trình trám răng sẽ KHÔNG GÂY ĐAU NHỨC VÀ KHÓ CHỊU vì quá trình này không xâm lấn, không phẫu thuật. Bác sĩ sẽ làm sạch vùng răng cần trám, sau đó bơm vật liệu và chiếu đèn để đông cứng. Tại Nha Khoa Thẩm Mỹ Quốc Tế Hải Oanh có đội ngũ nha sĩ tay nghề cao cùng máy móc hỗ trợ hiện đại và quy trình chuẩn y khoa nên trong quá trình trám (hàn) răng sẽ được thực hiện một cách an toàn và nhanh chóng nhất. Đặc biệt là không gây cảm giác đau, khó chịu cho khách hàng. Đồng thời, miếng trám đảm bảo chất lượng về độ bám dính tốt, độ bền cao, phục hồi chức năng ăn nhai và thẩm mỹ hiệu quả.
4. Lý do nên trám răng khi bị sâu?
Thức ăn thừa bị kẹt lại trên răng sẽ kết hợp với vi khuẩn có hại và gây ra sâu răng. Nếu sâu răng không được điều trị sớm sẽ làm cho vết sâu càng lớn hơn và gây viêm tủy, đau nhức, khó chịu cho bệnh nhân. Vì vậy, trám răng sớm là điều cần thiết nhất khi răng bị sâu để có thể khắc phục nhanh tình trạng đau nhức. Đặc biệt là ngăn ngừa những hậu quả nghiêm trọng có khả năng xảy ra.
Ngoài ra, phương pháp trám răng sâu còn đem đến những lợi ích khác như:
- Khôi phục hình thể răng: Trám răng giúp bổ sung phần mô răng bị thiếu do sâu răng, sứt mẻ, vỡ nhỏ, hoặc sau khi điều trị các bệnh lý như viêm tủy, mòn men răng. Nhờ vậy, hình dạng và kích thước của răng được phục hồi gần như ban đầu, giúp bạn ăn nhai dễ dàng và tự tin hơn khi giao tiếp.
- Bảo vệ răng thật: Việc trám răng giúp che chắn phần tủy răng khỏi sự tấn công của vi khuẩn, ngăn ngừa tình trạng sâu răng lan rộng và viêm tủy. Vật liệu hàn răng còn giúp bảo vệ men răng, ngăn ngừa quá trình mòn men răng do axit từ thức ăn tạo ra.
- Cải thiện chức năng ăn nhai: Khi răng bị sứt mẻ, vỡ hoặc sâu, bạn sẽ gặp khó khăn trong việc ăn nhai. Trám răng giúp khôi phục chức năng ăn nhai của răng, giúp bạn ăn uống ngon miệng và tiêu hóa tốt hơn.
- Nâng cao thẩm mỹ: Răng sứt mẻ, vỡ hoặc có lỗ sâu sẽ ảnh hưởng đến thẩm mỹ. Trám răng sẽ che đi những khuyết điểm này, giúp bạn có được nụ cười tự tin và rạng rỡ.

5. Các yếu tố ảnh hưởng đến việc trám răng sâu có đau không?
Theo chia sẻ từ các bác sĩ chuyên khoa, trám răng sâu có đau không sẽ tùy thuộc vào:
5.1. Tình trạng tổn thương của răng
Nếu răng đang trong tình trạng tổn thương nghiêm trọng ăn sâu vào tủy thì quá trình thực hiện trám răng sẽ có thể khiến cho bạn cảm thấy hơi đau nhức. Tuy nhiên, bạn cũng không cần quá lo lắng hay áp lực vì mức độ đau nhức sẽ nằm ở mức có thể chịu được. Trong trường hợp nghiêm trọng, bác sĩ có thể thực hiện gây tê để giảm cơn đau.

5.2. Cơ địa từng người
Mức độ chịu đau của từng bệnh nhân sẽ khác nhau nên trám răng sâu có thể đau với bệnh nhân này nhưng sẽ không quá đau với bệnh nhân khác. Đối với những bạn có cơ địa nhạy cảm, thì một động tác nhẹ cũng có thể khiến cho bệnh nhân cảm thấy khó chịu và ngược lại.
5.3. Vật liệu hàn trám
Một yếu tố quyết định quan trọng trong việc trám răng sâu có gây đau đớn không đó chính là vật liệu trám răng. Nếu vật liệu trám răng được sử dụng có chất lượng đảm bảo thì sẽ giúp độ bền của miếng trám tốt hơn đồng thời làm người bệnh thấy thoải mái hơn.
5.4. Cơ sở nha khoa thực hiện
Trên thực tế, trám răng sâu có đau không cũng sẽ phụ thuộc một phần vào tay nghề của bác sĩ, máy móc thiết bị và công nghệ điều trị tại nha khoa. Khi bác sĩ có tay nghề tốt và dày dặn kinh nghiệm thì có thể dễ dàng kiểm soát và hạn chế những cơn ê buốt (thường xảy ra với cơ địa nhạy cảm). Vì thế, lựa chọn đúng nha khoa trám răng sâu là một vấn đề quan trọng vừa đảm bảo chất lượng mà vừa hạn chế cơn đau.

6. Những lưu ý cần biết sau khi trám răng sâu
Để quá trình hồi phục sau khi hàn trám răng diễn ra nhanh và thuận lợi, bạn cần lưu ý một số thông tin như:
- Khoảng 2 tiếng đầu bạn cần kiêng ăn uống để miếng trám được đông và cố định. Sau đó, nên ưu tiên ăn những thực phẩm mềm, mịn, mát và ít tinh bột. Điều này sẽ giúp cho miếng trám và răng có sự thích nghi tốt hơn.
- Tránh dùng những vật nhọn như tăm hay vật cứng để xỉa răng đã hàn vì dễ có nguy cơ làm bong, vỡ miếng hàn.
- Trong những ngày đầu, bạn cần hạn chế thực hiện những hoạt động mạnh để không làm ảnh hưởng tới răng. Quá trình hoạt động mạnh có thể làm cho miếng trám bị bong hoặc lệch.
- Vệ sinh răng miệng sạch sẽ 2 lần/ngày, đặc biệt là vị trí răng vừa trám. Tuy nhiên, cần vệ sinh nhẹ nhàng, không nên đánh răng quá mạnh và chà xát vào vùng răng vừa trám.
- Theo dõi tình trạng sau khi trám răng, nếu có biểu hiện bất thường, bạn hãy liên hệ ngay với bác sĩ để điều trị kịp thời.
- Nên có một chế độ chăm sóc răng miệng khoa học và vệ sinh đúng cách. Khi đánh răng, bạn hãy thực hiện thao tác nhẹ nhàng, dùng bàn chải lông mềm để vệ sinh răng.
- Tái khám răng theo lịch hẹn của nha khoa.
7. Nha Khoa Thẩm Mỹ Quốc Tế Hải Oanh - Địa chỉ trám răng sâu an toàn, uy tín, hiệu quả tại Quảng Ninh
Nha Khoa Thẩm Mỹ Quốc Tế Hải Oanh là một địa chỉ nổi tiếng trong việc trong việc điều trị trám răng sâu hay các vấn đề về răng miệng khác được khách hàng tin tưởng lựa chọn. Điều này đã được kiểm chứng khi hàng nghìn khách hàng đã điều trị thành công tại nha khoa. Sở dĩ chúng tôi làm được điều đó là vì nha khoa Hải Oanh có:
- Đội ngũ y bác sĩ chuyên môn cao, nhiều năm kinh nghiệm, tận tâm với nghề và luôn cập nhật những phương pháp điều trị hiện đại nhất.
- Trang thiết bị hiện đại, đảm bảo quy trình trám răng sâu diễn ra chính xác và an toàn.
- Vật liệu trám răng chất lượng, phù hợp với người bệnh.
- Đội ngũ nhân sự chăm sóc khách hàng tận tình, luôn hỗ trợ khách hàng nhiệt tình, nhanh chóng và kịp thời.
- Chi phí trám răng sâu hợp lý, minh bạch phù hợp với ngân sách của khách hàng.
Nhìn chung, trám răng có đau không sẽ phụ thuộc vào nhiều yếu tố, tuy nhiên quan trọng nhất vẫn là chọn được địa chỉ nha khoa uy tín. Mong rằng những chia sẻ trên sẽ giúp bạn hiểu rõ hơn về việc trám răng sâu. Đừng quên liên hệ Nha Khoa Thẩm Mỹ Quốc Tế Hải Oanh nếu bạn cần tư vấn thêm về dịch vụ trám răng cũng như đặt lịch khám răng định kỳ nhé.
---------------------------------------------------------------------------------------
Nha Khoa Thẩm Mỹ Quốc Tế Hải Oanh - Tạo thương hiệu từ chất lượng!
- Địa chỉ: Ngã ba đường 188, Khu đô thị Tân Việt Bắc - Mạo Khê - Đông Triều - Quảng Ninh.
- Hotline: 0915.151.191 - 0818.28.28.29
- Website: https://nhakhoathammyquoctehaioanh.com/
- Zalo OA: https://zalo.me/haioanhdental
