Smart Veneer và cuộc cách mạng bảo tồn răng thật
1. Smart Veneer là gì?
Smart Veneer là một kỹ thuật thẩm mỹ nha khoa hiện đại, sử dụng một lớp sứ mỏng được chế tác riêng biệt để dán lên bề mặt ngoài của răng. Mục đích chính của phương pháp này là cải thiện hình dáng, màu sắc và kích thước của răng một cách hiệu quả và tự nhiên, mang lại nụ cười hoàn hảo cho người sử dụng.

Điểm nổi bật của kỹ thuật này so với các phương pháp dán sứ truyền thống là khả năng bảo tồn tối đa răng gốc. Nhờ sự kết hợp giữa công nghệ chế tác tiên tiến và kỹ thuật dán đặc biệt, giúp bác sĩ có thể dán sứ trực tiếp lên răng mà không cần phải mài nhỏ răng thật quá nhiều, thậm chí trong một số trường hợp không cần mài. Nhờ vậy, răng của bạn sẽ được bảo vệ tối đa, không gây ê buốt hay tổn thương tủy răng.
2. Smart Veneer: Tiêu chuẩn vàng trong thẩm mỹ nha khoa bảo tồn
Kỹ thuật nha khoa này được xem là bước tiến đột phá để mang lại nụ cười hoàn hảo với ba yếu tố cốt lõi: Công nghệ, kỹ thuật và thẩm mỹ.
2.1. Công nghệ tiên tiến vượt trội
Khác với các phương pháp dán sứ truyền thống, Smart Veneer sử dụng công nghệ chế tác CAD/CAM hiện đại, cho phép tạo ra những miếng sứ với độ mỏng tối ưu chỉ từ 0.2 - 0.4mm. Độ mỏng này tương đương một miếng giấy, giúp bác sĩ hạn chế tối đa việc mài men răng. Trong nhiều trường hợp, việc mài răng là không cần thiết, giúp bảo tồn cấu trúc răng thật một cách hiệu quả, tránh cảm giác ê buốt và bảo vệ tủy răng.

2.2. Kỹ thuật dán sứ chính xác
Kỹ thuật dán đòi hỏi sự tỉ mỉ và chuyên môn cao từ bác sĩ, vì vậy toàn bộ quy trình, từ lấy dấu kỹ thuật số chính xác đến việc dán sứ, đều được thực hiện theo tiêu chuẩn khắt khe để đảm bảo miếng dán ôm khít và bền chắc. Nhờ vậy, kỹ thuật nha khoa này không chỉ mang lại hiệu quả thẩm mỹ vượt trội, mà còn đảm bảo độ bền vững lâu dài, chống bong tróc.
2.3. Tính thẩm mỹ tinh tế
Smart Veneer được chế tác từ khối sứ nguyên chất nhập khẩu, có màu sắc và độ trong suốt tự nhiên như răng thật. Qua đôi bàn tay tài hoa của các kỹ thuật viên, mỗi miếng sứ không chỉ che phủ hiệu quả các khuyết điểm như răng ố màu, răng thưa hay mẻ nhỏ, mà còn kiến tạo một nụ cười hài hòa, sống động. Đặc biệt, với độ trong mỏng tự nhiên, kỹ thuật này là lựa chọn lý tưởng để phục hình cho nhóm răng cửa - vị trí đòi hỏi tính thẩm mỹ cao nhất.
3. Những trường hợp có thể áp dụng kỹ thuật Smart Veneer
Kỹ thuật dán sứ này không phải là một giải pháp cho mọi vấn đề răng miệng, nhưng nó là lựa chọn lý tưởng cho những trường hợp cụ thể sau đây.
3.1. Răng ố vàng, xỉn màu nặng
Trong những trường hợp răng bị đổi màu nghiêm trọng do sử dụng kháng sinh tetracycline, florua, hoặc đơn giản là do tuổi tác và thói quen ăn uống (cà phê, trà), phương pháp tẩy trắng răng thông thường thường không mang lại hiệu quả như mong muốn.

Lúc này, Smart Veneer nổi lên như một giải pháp tối ưu. Bằng cách dán một lớp sứ siêu mỏng lên bề mặt răng, không chỉ che phủ hoàn toàn các khuyết điểm về màu sắc, mà còn mang lại vẻ trắng sáng tự nhiên, đều màu và bền đẹp. Hơn nữa, chất liệu sứ cao cấp còn có khả năng chống bám màu vượt trội, giúp nụ cười luôn rạng rỡ theo thời gian.
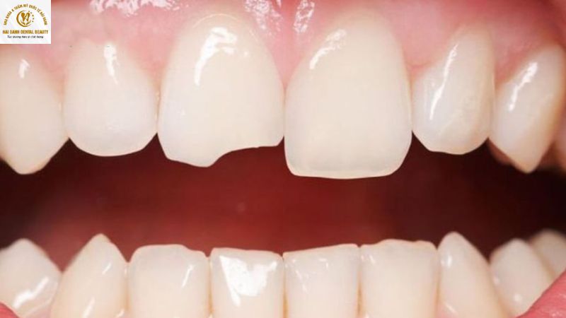
3.2. Răng có hình dáng không đẹp hoặc bị mẻ, sứt nhỏ
Nhiều người gặp phải tình trạng răng không đều, kích thước không cân xứng hoặc bị mẻ, sứt nhỏ do chấn thương. Tuy nhiên, thay vì phải can thiệp sâu vào cấu trúc răng, Smart Veneer cung cấp một giải pháp thẩm mỹ tinh tế.
Mỗi miếng sứ được chế tác riêng biệt để khắc phục chính xác những khuyết điểm này, từ đó, bác sĩ có thể thiết kế lại hình dáng và kích thước của từng chiếc răng để tạo ra một cung răng đều đặn và hài hòa hơn, mang lại sự tự tin cho nụ cười của bạn.

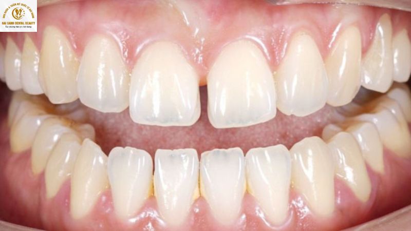
3.3. Răng thưa ở mức độ nhẹ
Đối với những kẽ hở nhỏ giữa các răng gây mất thẩm mỹ, Smart Veneer là một giải pháp nhanh chóng và hiệu quả, thay thế cho việc niềng răng tốn kém thời gian. Bằng cách dán sứ để lấp đầy các khe hở này, kỹ thuật này mang đến hàm răng khít, đều và đẹp hơn. Điều này giúp bạn sở hữu một nụ cười hoàn hảo chỉ sau một vài buổi hẹn, đồng thời bảo tồn tối đa cấu trúc răng thật.

3.4. Răng bị mòn cổ hoặc có các vết nứt nhỏ
Kỹ thuật nha khoa này cũng là giải pháp hiệu quả cho những trường hợp răng bị mòn cổ do thói quen chải răng không đúng cách, nghiến răng hoặc bị rạn nứt nhẹ do chấn thương.
Lớp sứ siêu mỏng này sẽ tạo ra một lớp bảo vệ vững chắc cho bề mặt răng, giúp giảm thiểu cảm giác ê buốt và che đi các vết nứt. Nhờ đó, không chỉ vẻ đẹp của răng được khôi phục mà chức năng ăn nhai cũng được cải thiện đáng kể, giúp bạn tự tin hơn trong cuộc sống.
4. Quy trình dán sứ Smart Veneer chuẩn y khoa tại nha khoa Thẩm Mỹ Quốc Tế Hải Oanh
Để đảm bảo kết quả thẩm mỹ tối ưu và an toàn tuyệt đối, quy trình này phải được thực hiện theo các bước chuẩn y khoa dưới sự giám sát của bác sĩ chuyên môn.
Bước 1: Thăm khám và tư vấn chuyên sâu
Đây là bước quan trọng nhất, nơi bác sĩ sẽ thăm khám tổng quát, chụp phim X-quang để đánh giá tình trạng răng miệng của bạn. Bác sĩ sẽ xác định xem bạn có phù hợp với phương pháp dán sứ này hay không, đồng thời tư vấn về màu sắc, hình dáng răng mong muốn để lên kế hoạch điều trị chi tiết.

Bước 2: Tạo độ nhám trên bề mặt răng
Bác sĩ sẽ mài một lớp men răng rất mỏng, chỉ khoảng 0.2 - 0.4mm, tương đương với độ dày của mặt sứ Veneer. Mục đích của bước này là tạo độ nhám và khoảng trống cần thiết để mặt sứ bám dính chắc chắn, đồng thời không làm răng bị to hay cộm sau khi dán.
Bước 3: Lấy dấu răng và chế tác mặt sứ
Sau khi tạo được độ nhám trên bề mặt răng, bác sĩ sẽ tiến hành lấy dấu răng chính xác bằng công nghệ kỹ thuật số 3D. Dữ liệu này sẽ được gửi đến phòng lab của Nha khoa Thẩm mỹ Quốc tế Hải Oanh để các kỹ thuật viên tài hoa chế tác mặt sứ Smart Veneer. Trong thời gian chờ đợi (thường mất từ 3 - 5 ngày), bạn sẽ được lắp mặt sứ tạm thời để đảm bảo thẩm mỹ và chức năng ăn nhai bình thường.

Bước 4: Thử và điều chỉnh mặt sứ
Khi mặt sứ được hoàn thiện, bạn sẽ quay lại phòng khám. Bác sĩ sẽ đặt thử mặt sứ lên răng để bạn kiểm tra về hình dáng, màu sắc và cảm giác. Bác sĩ sẽ điều chỉnh tỉ mỉ từng chi tiết để đảm bảo sự hài hòa tuyệt đối với khuôn mặt và mong muốn của bạn.
Bước 5: Gắn sứ và hoàn thiện
Sau khi bạn đã hài lòng, bác sĩ sẽ sử dụng keo dán chuyên dụng để gắn cố định mặt sứ Veneer lên răng. Cuối cùng, bác sĩ sẽ làm sạch các vật liệu thừa và đánh bóng viền răng, hoàn thành quy trình một cách tỉ mỉ. Toàn bộ quá trình này đảm bảo nụ cười mới của bạn không chỉ đẹp mà còn bền vững và an toàn.

5. Nên dán sứ Smart Veneer ở đâu là tốt?
Tìm đơn vị nha khoa uy tín để thực hiện dán sứ là điều được rất nhiều người quan tâm. Bởi điều này không đơn thuần chỉ là địa chỉ thực hiện, mà còn là đặt niềm tin vào chuyên môn, công nghệ và cam kết chất lượng. Vậy đâu là những yếu tố bạn cần cân nhắc để có được kết quả thẩm mỹ và độ bền như mong muốn?
5.1. Các tiêu chí lựa chọn địa chỉ dán sứ Smart Veneer uy tín
Một nha khoa đáng tin cậy không chỉ có công nghệ hiện đại mà còn phải minh bạch về quy trình và tay nghề bác sĩ.
- Đội ngũ bác sĩ chuyên môn cao: Kỹ thuật dán sứ yêu cầu sự tỉ mỉ và kinh nghiệm dày dặn để mài răng đúng tỉ lệ, dán sứ chuẩn xác. Một bác sĩ giỏi sẽ đảm bảo mặt sứ ôm khít, không cộm, không gây ê buốt và đạt tính thẩm mỹ cao nhất.
- Công nghệ hiện đại: Nha khoa đó phải sở hữu các thiết bị tiên tiến như máy chụp CT Cone Beam 3D, máy scan răng Itero Element, và công nghệ chế tác sứ CAD/CAM. Những công nghệ này không chỉ giúp việc chẩn đoán và thiết kế mặt sứ chính xác mà còn rút ngắn thời gian điều trị.

Tại Nha Khoa Thẩm Mỹ Quốc Tế Hải Oanh chúng tôi sở hữu máy chụp film X-Quang CT 3D Cone Beam
cùng máy Scan 3D hiện đại, hỗ trợ việc dán sứ chuẩn và đẹp
- Vật liệu sứ cao cấp: Chất liệu sứ phải có nguồn gốc rõ ràng, được nhập khẩu chính hãng, đảm bảo độ trong mờ tự nhiên, bền màu và chịu lực tốt.
- Chính sách bảo hành rõ ràng: Một phòng khám uy tín sẽ luôn có chính sách bảo hành minh bạch, thể hiện cam kết về chất lượng dịch vụ và sẵn sàng hỗ trợ khách hàng sau khi điều trị.
5.2. Nha khoa Thẩm mỹ Quốc tế Hải Oanh - Lựa chọn hàng đầu cho Smart Veneer
Với những tiêu chí trên, Nha khoa Thẩm mỹ Quốc tế Hải Oanh tự hào là địa chỉ tin cậy được đông đảo khách hàng lựa chọn để dán sứ.
Chúng tôi có đội ngũ bác sĩ chuyên khoa giỏi chuyên môn, giàu kinh nghiệm, đảm bảo kỹ thuật chuẩn xác trong từng ca dán sứ. Bên cạnh đó, chúng tôi đầu tư mạnh vào hệ thống trang thiết bị tiên tiến nhất, từ khâu thăm khám đến chế tác, giúp quy trình diễn ra nhanh chóng, hiệu quả. Vật liệu sứ tại đây đều được nhập khẩu chính hãng, đảm bảo chất lượng, mang lại nụ cười không chỉ đẹp mà còn bền vững theo thời gian.
Tóm lại, Smart Veneer không chỉ là một giải pháp thẩm mỹ tức thì mà còn là một khoản đầu tư xứng đáng cho vẻ đẹp lâu dài của nụ cười. Với những ưu điểm vượt trội về bảo tồn răng, tính thẩm mỹ và độ bền, đây là lựa chọn lý tưởng cho những ai tìm kiếm sự hoàn hảo cho hàm răng của mình. Đội ngũ chuyên gia tại Nha khoa Thẩm mỹ Quốc tế Hải Oanh cam kết mang đến cho bạn trải nghiệm nha khoa đẳng cấp và nụ cười rạng rỡ, chuẩn mực, giúp bạn sống trọn vẹn với sự tự tin.
---------------------------------------------------------------------------------------
Nha Khoa Thẩm Mỹ Quốc Tế Hải Oanh - Tạo thương hiệu từ chất lượng!
- Địa chỉ: Ngã ba đường 188, Khu đô thị Tân Việt Bắc - Mạo Khê - Đông Triều - Quảng Ninh.
- Hotline: 0915.151.191 - 0818.28.28.29
- Website: https://nhakhoathammyquoctehaioanh.com/
- Zalo OA: https://zalo.me/haioanhdental
