[GIẢI ĐÁP] Răng sứ có bị xuống màu không?
1. Răng sứ có bị xuống màu không?
Về mặt lý thuyết, răng sứ cao cấp được cấu tạo từ vật liệu sứ nguyên khối hoặc phủ sứ với bề mặt men siêu láng mịn. Cấu trúc này hoàn toàn khác biệt so với men răng thật vốn có các lỗ nhỏ li ti, giúp răng sứ có khả năng chống bám màu vượt trội. Một lớp men sứ công nghệ cao được nung ở nhiệt độ hàng nghìn độ C tạo nên bề mặt trơ, không thấm hút màu từ thực phẩm, đảm bảo màu sắc luôn ổn định.
Tuy nhiên, thực tế cho thấy, vẫn có những trường hợp răng sứ bị xuống màu sau một thời gian sử dụng. Nguyên nhân không phải do bản thân vật liệu sứ bị đổi màu, mà thường xuất phát từ các yếu tố bên ngoài như:
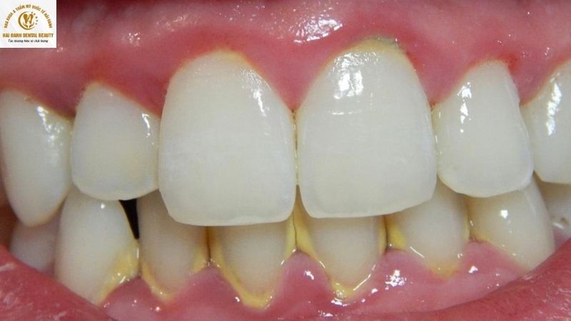
- Thói quen vệ sinh răng miệng: Cho dù là răng bình thường hay răng sứ đều phải được làm sạch thường xuyên để loại trừ mảng bám thực phẩm bám vào, tránh hiện tượng xỉn màu trên men răng. Quá trình vệ sinh không đúng cách sẽ không thể giúp răng làm sạch mảng bám, lâu dần mất đi độ trắng sáng và chuyển sang màu ngà vàng, ngoài ra còn tăng khả năng mắc các bệnh răng miệng như hôi miệng, viêm lợi, nha chu, …

Vệ sinh răng miệng không tốt vẫn để lại mảng bám trên răng lâu ngày khiến cho răng sứ bị ngả màu
- Hút thuốc: Thuốc lá không những tác động đến men răng làm cho răng sứ bị xỉn màu mà còn là nguyên nhân chính gây hại cho sức khỏe, đặc biệt là phổi. Do trong thuốc có chứa chất Nicotine phá vỡ màng bảo vệ men răng, làm cho men răng bị suy yếu và gây nên tình trạng xỉn màu răng.
- Chất liệu răng sứ sử dụng: Răng sứ kim loại hoặc các loại răng sứ có cấu tạo từ hợp kim (Niken, Crom, Titan) dù cho được phủ một lớp sứ bên ngoài nhưng sườn răng vẫn bị ảnh hưởng, quá trình này bắt nguồn từ hiện tượng oxi hóa kim loại với môi trường axit bên trong miệng. Trong điều kiện bình thường, răng sứ kim loại vẫn đảm bảo tính thẩm mỹ, nhưng dòng sản phẩm này có thể gây ra tình trạng hôi miệng trong thời gian dài sử dụng.
- Chế độ dinh dưỡng: Trong quá trình ăn nhai, răng là nơi tiếp xúc trực tiếp với thức ăn, trải qua chức năng nhai, cắn, men răng dễ nhiễm màu thực phẩm. Đặc biệt ở các loại thực phẩm sẫm màu như trà, café, hoặc các sản phẩm nhiều đường như nước ngọt, … Các chất này sẽ bám vào răng, không vệ sinh răng thường xuyên thì sẽ dẫn đến tình trạng xỉn màu.

2. Xử lý khi răng sứ bị đổi màu: Giải pháp dứt điểm từ chuyên gia
Khi răng sứ bị đổi màu, tẩy trắng răng thông thường không có tác dụng. Điều quan trọng là phải xác định nguyên nhân để có hướng xử lý tối ưu, bảo vệ thẩm mỹ và sức khỏe răng miệng:
- Nếu do mảng bám: Vấn đề này thường xuất phát từ việc vệ sinh chưa kỹ lưỡng. Mảng bám thức ăn tích tụ, đặc biệt ở viền nướu, gây cảm giác răng bị ố vàng. Giải pháp hiệu quả là thăm khám nha khoa định kỳ để lấy cao răng chuyên nghiệp. Bác sĩ sẽ làm sạch toàn diện, giúp răng sứ lấy lại vẻ trắng sáng ban đầu.
- Nếu do vật liệu sứ: Tình trạng thâm viền nướu xảy ra ở răng sứ kim loại hoặc răng sứ giá rẻ. Lõi kim loại bị oxy hóa hoặc vật liệu kém chất lượng bị ngấm màu theo thời gian. Trong trường hợp này, cách khắc phục duy nhất và hiệu quả nhất là thay răng sứ mới bằng dòng sứ toàn sứ cao cấp. Vật liệu toàn sứ không chứa kim loại, đảm bảo tính thẩm mỹ tự nhiên và độ bền màu vĩnh viễn.

3. Cách hạn chế răng sứ đổi màu hiệu quả
Răng sứ có bị xuống màu không phụ thuộc vào nhiều yếu tố. Dưới đây là những lời khuyên chuyên sâu từ các chuyên gia nha khoa, giúp bạn duy trì vẻ đẹp và độ bền cho răng sứ.
3.1. Lựa chọn vật liệu và cơ sở nha khoa uy tín
Yếu tố quyết định đầu tiên là chất lượng của răng sứ. Nếu chọn răng sứ kim loại, theo thời gian, lõi kim loại có thể bị oxy hóa dưới tác động của môi trường axit trong khoang miệng, gây ra hiện tượng thâm viền nướu và làm ảnh hưởng đến thẩm mỹ tổng thể.
Do đó, để đảm bảo độ bền màu vĩnh viễn, bạn nên ưu tiên răng toàn sứ cao cấp, được làm từ vật liệu lành tính và không bị biến chất. Đồng thời, việc thực hiện bọc răng sứ tại một cơ sở nha khoa uy tín sẽ đảm bảo quy trình được thực hiện đúng kỹ thuật, giúp răng sứ có độ khít sát cao, hạn chế tối đa sự xâm nhập của vi khuẩn và mảng bám.
3.2. Vệ sinh răng miệng đúng cách và khoa học
Vệ sinh răng miệng hằng ngày đóng vai trò then chốt. Tuy nhiên, cần lưu ý lựa chọn sản phẩm phù hợp. Hãy sử dụng bàn chải lông mềm để chải răng nhẹ nhàng, tránh gây trầy xước bề mặt men sứ vốn rất nhẵn bóng. Các loại kem đánh răng có tính bào mòn cao hoặc chuyên tẩy trắng răng nên được hạn chế sử dụng, vì chúng có thể làm hỏng lớp men sứ bảo vệ.

Thay vào đó, hãy dùng kem đánh răng thông thường và kết hợp với nước súc miệng không cồn. Cồn có thể làm khô niêm mạc miệng và ảnh hưởng đến độ bền của keo dán sứ, tạo điều kiện cho vi khuẩn xâm nhập và gây tổn thương.
3.3. Xây dựng chế độ ăn uống và sinh hoạt hợp lý
Để duy trì màu sắc hoàn hảo cho răng sứ, hãy hạn chế sử dụng các thực phẩm và đồ uống có màu đậm như cà phê, trà hay rượu vang. Tránh ăn các loại đồ ăn quá cứng, dai để không làm ảnh hưởng đến độ bền của răng sứ.

Việc vệ sinh răng miệng ngay sau khi ăn là thói quen tốt giúp loại bỏ kịp thời các mảng bám, ngăn chặn sự tích tụ lâu dài. Bằng cách kết hợp những thói quen này, bạn sẽ bảo vệ được nụ cười rạng rỡ của mình một cách hiệu quả và bền vững.
Như vậy, việc răng sứ có bị xuống màu không phụ thuộc vào chế độ chăm sóc của mỗi người. Đừng để những thói quen nhỏ ảnh hưởng đến nụ cười của bạn. Với sự hỗ trợ chuyên nghiệp từ Nha khoa Thẩm mỹ Quốc tế Hải Oanh, bạn sẽ luôn có được bí quyết để giữ cho nụ cười của mình luôn rạng rỡ và bền đẹp.
4. Nha Khoa Thẩm Mỹ Quốc Tế Hải Oanh - Địa chỉ làm răng sứ thẩm mỹ uy tín, chất lượng số 1 tại Quảng Ninh
Điểm khác biệt cốt lõi và cũng là yếu tố xây dựng độ tin cậy vững chắc tại Hải Oanh chính là phương châm tư vấn dựa trên thực tế tình trạng khách hàng. Chúng tôi hiểu rằng, không phải mọi trường hợp răng miệng đều phù hợp với phương pháp bọc răng sứ.
Trước khi đưa ra bất kỳ khuyến nghị nào, đội ngũ bác sĩ của chúng tôi sẽ tiến hành thăm khám tổng quát kỹ lưỡng, chụp X-quang, phân tích cấu trúc xương hàm và lắng nghe mong muốn của khách hàng. Dựa trên dữ liệu khoa học và chuyên môn sâu sắc, chúng tôi sẽ:
- Tư vấn chi tiết về ưu nhược điểm của bọc răng sứ, giải thích rõ ràng về quy trình, vật liệu và chi phí.
- Đánh giá khách quan tình trạng răng, nếu răng của bạn thuộc vào những trường hợp không nên bọc răng sứ (ví dụ: men răng quá yếu, bệnh lý nha chu nặng chưa được điều trị, răng quá khấp khểnh cần nắn chỉnh chuyên sâu...), chúng tôi sẽ tư vấn giải pháp thay thế phù hợp hơn. Điều này có thể bao gồm điều trị bệnh lý nha chu, niềng răng, hoặc các phương pháp bảo tồn răng tự nhiên khác nhằm đảm bảo sức khỏe răng miệng lâu dài cho bạn.
- Không "ép" khách hàng lựa chọn dịch vụ không phù hợp chỉ vì mục đích thương mại. Mục tiêu của chúng tôi là bảo tồn tối đa răng thật và mang lại kết quả thẩm mỹ, chức năng bền vững nhất cho khách hàng.

Không chỉ vậy, tại Nha Khoa Thẩm Mỹ Quốc Tế Hải Oanh còn sở hữu đội ngũ y bác sĩ chuyên môn cao, giàu kinh nghiệm. Cùng với sự hỗ trợ của những “trợ thủ” đắc lực như máy chụp film X-Quang CT Cone Beam 3D, máy quét dấu hàm 3D,… giúp bác sĩ chẩn đoán tình trạng răng một cách chính xác, từ đó đưa ra phương pháp bọc răng sứ thẩm mỹ chất lượng nhất.
Tại Nha khoa Hải Oanh còn ghi điểm bởi sự chăm sóc khách hàng tận tâm, chu đáo. Đặc biệt, phòng khám hỗ trợ xe đưa đón và chỗ ở miễn phí cho khách hàng trong quá trình sử dụng dịch vụ.

Tại Nha khoa Thẩm mỹ Quốc tế Hải Oanh, chúng tôi cam kết mang đến sự tư vấn tận tâm và giải pháp điều trị phù hợp nhất, đảm bảo mỗi nụ cười đều là một tác phẩm nghệ thuật an toàn và hoàn hảo.
Nếu bạn hay người thân đang gặp phải vấn đề về răng miệng thì đừng quên đến phòng khám Nha Khoa Thẩm Mỹ Quốc Tế Hải Oanh để được tư vấn và nhận ưu đãi tốt nhất:
Nha Khoa Thẩm Mỹ Quốc Tế Hải Oanh - Tạo thương hiệu từ chất lượng!
- Địa chỉ: Ngã ba đường 188, Khu đô thị Tân Việt Bắc - Mạo Khê - Đông Triều - Quảng Ninh.
- Hotline: 0915.151.191 - 0818.28.28.29
- Website: https://nhakhoathammyquoctehaioanh.com/
- Zalo OA: https://zalo.me/haioanhdental
