[HỎI ĐÁP] Sau sinh bao lâu thì được lấy cao răng?
1. Sau sinh có nên lấy cao răng không?
Sự thay đổi nội tiết tố trong thai kỳ thường làm tăng nguy cơ viêm nướu, chảy máu chân răng và tích tụ vôi răng nhanh hơn. Điều này khiến việc vệ sinh răng miệng trở nên khó khăn và câu hỏi "sau sinh có nên lấy cao răng không?" trở thành mối bận tâm lớn của các mẹ bỉm sữa.
Theo các chuyên gia tại Nha khoa Thẩm mỹ Quốc tế Hải Oanh, việc lấy cao răng sau sinh không những an toàn mà còn là một bước quan trọng để phục hồi sức khỏe răng miệng. Đây là một thủ thuật nha khoa đơn giản, không xâm lấn, không sử dụng thuốc gây tê hay hóa chất gây hại, do đó không ảnh hưởng đến tuyến sữa hay sức khỏe của mẹ và bé.

2. Sau sinh bao lâu thì được lấy cao răng?
Dù lấy cao răng là một thủ thuật an toàn, các nha sĩ tại Nha Khoa Thẩm Mỹ Quốc Tế Hải Oanh khuyến cáo các mẹ nên đợi ít nhất 6 tháng sau sinh để thực hiện. Lý do của lời khuyên này rất quan trọng:
- Thời gian phục hồi: Sau khi sinh, cơ thể người mẹ cần thời gian để phục hồi hoàn toàn. Việc đợi 6 tháng giúp nướu răng và các mô mềm xung quanh ổn định trở lại, giảm thiểu cảm giác ê buốt hoặc khó chịu trong quá trình làm sạch.
- Giảm thiểu nhạy cảm: Giai đoạn này, độ nhạy cảm của răng miệng sẽ giảm dần, giúp quá trình lấy cao răng diễn ra nhẹ nhàng, thoải mái hơn.
3. Hậu quả khi phụ nữ sau sinh không loại bỏ cao răng
Việc lơ là vệ sinh răng miệng sau thai kỳ, đặc biệt là không làm sạch cao răng, có thể dẫn đến nhiều hệ lụy nghiêm trọng hơn chỉ là mất thẩm mỹ. Theo kinh nghiệm lâm sàng của Nha khoa Thẩm mỹ Quốc tế Hải Oanh, giai đoạn sau sinh là thời kỳ nhạy cảm, dễ khiến các bệnh lý răng miệng bùng phát nhanh chóng.
3.1. Nguy cơ bệnh lý răng miệng và thẩm mỹ
Nếu không làm sạch cao răng sau sinh, người mẹ sẽ phải đối mặt với một loạt các vấn đề nghiêm trọng, không chỉ về mặt thẩm mỹ mà còn đe dọa trực tiếp đến cấu trúc răng:
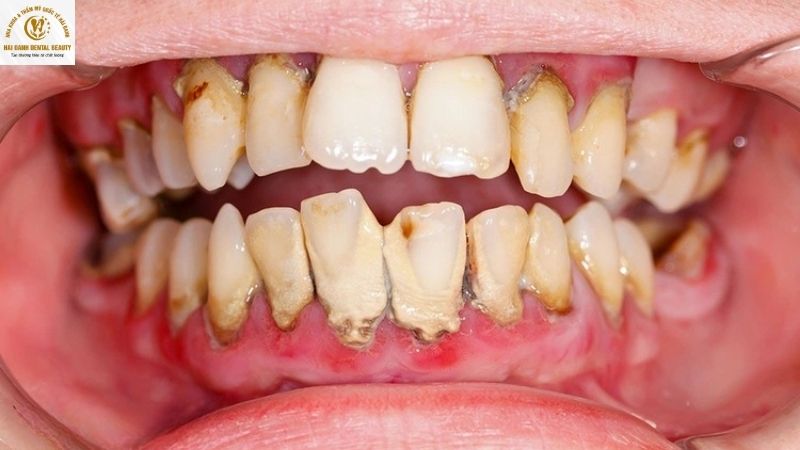
- Mất thẩm mỹ và hôi miệng mãn tính: Cao răng (vôi răng) sẽ tích tụ và bám chặt vào thân răng. Màu sắc của chúng dần chuyển từ vàng nhạt sang nâu đỏ hoặc nâu đen khi ở cấp độ nặng. Lớp mảng bám này là nơi sinh sôi của vi khuẩn kỵ khí, nguyên nhân trực tiếp gây ra hôi miệng mãn tính, ảnh hưởng lớn đến sự tự tin và giao tiếp hàng ngày.
- Tăng tốc độ bệnh lý nha chu: Vôi răng tạo thành một môi trường bảo vệ lý tưởng cho vi khuẩn sinh sôi. Độc tố từ vi khuẩn kích thích nướu, dẫn đến viêm nướu (chảy máu khi đánh răng). Nếu không được can thiệp, quá trình viêm sẽ lan xuống cấu trúc sâu hơn, gây ra viêm nha chu – nguyên nhân hàng đầu gây tiêu xương ổ răng, làm răng lung lay, tụt nướu và cuối cùng là mất răng vĩnh viễn. Giai đoạn sau sinh, nướu thường nhạy cảm hơn, khiến quá trình bệnh lý diễn ra nhanh và khó kiểm soát hơn.

3.2. Mối liên hệ nguy hiểm với bệnh toàn thân (YMYL)
Nguy hiểm hơn, vi khuẩn gây bệnh nha chu trong khoang miệng có thể đi vào máu và gây ra các bệnh lý nghiêm trọng. Nha khoa Thẩm mỹ Quốc tế Hải Oanh đặc biệt nhấn mạnh các nguy cơ sau đây đối với phụ nữ sau sinh:
- Nguy cơ tim mạch: Các nghiên cứu khoa học đã chỉ ra mối liên hệ giữa vi khuẩn gây viêm nha chu và nguy cơ mắc bệnh tim mạch, bao gồm viêm nội tâm mạc.
- Viêm tuyến vú cấp tính và nhiễm trùng hậu sản: Tình trạng nhiễm khuẩn trong khoang miệng có thể làm tăng nguy cơ nhiễm trùng chung cho cơ thể, ảnh hưởng xấu đến quá trình hồi phục sau sinh và thậm chí là quá trình nuôi con.
4. Lưu ý quan trọng sau khi lấy cao răng cho mẹ bỉm sữa
Để đảm bảo kết quả tốt nhất và duy trì sức khỏe răng miệng lâu dài, các mẹ sau khi lấy cao răng tại Nha khoa Thẩm mỹ Quốc tế Hải Oanh cần tuân thủ nghiêm ngặt các hướng dẫn sau:
- Kiểm soát chế độ ăn uống: Tránh các thực phẩm quá cứng hoặc quá nóng/lạnh trong 24 giờ đầu tiên để giảm thiểu sự ê buốt.
- Vệ sinh răng miệng tối ưu: Đánh răng nhẹ nhàng bằng bàn chải lông mềm ít nhất 2 lần/ngày. Kết hợp sử dụng máy tăm nước hoặc chỉ nha khoa để làm sạch các kẽ răng, nơi mảng bám dễ tích tụ nhất.
- Hạn chế đường: Giảm thiểu tối đa đồ ngọt và thức uống có ga, vì hàm lượng đường cao sẽ tạo môi trường lý tưởng cho vi khuẩn phát triển, làm cao răng tái hình thành nhanh chóng.
- Kiểm tra định kỳ: Thực hiện thăm khám và lấy cao răng định kỳ 3 - 6 tháng/lần theo chỉ định của bác sĩ tại Nha khoa Thẩm mỹ Quốc tế Hải Oanh để phòng ngừa các bệnh lý nha chu tái phát.

5. Nha khoa Thẩm mỹ Quốc tế Hải Oanh - Địa chỉ lấy cao răng uy tín, an toàn cho mẹ sau sinh
Sau khi đã hiểu rõ sau sinh bao lâu thì được lấy cao răng và những lưu ý cần thiết, việc lựa chọn phòng khám là bước quan trọng nhất. Nha khoa Thẩm mỹ Quốc tế Hải Oanh tự hào là địa chỉ tin cậy được hàng ngàn mẹ bỉm sữa lựa chọn để chăm sóc sức khỏe răng miệng. Chúng tôi cam kết mang đến dịch vụ lấy cao răng không chỉ hiệu quả mà còn đảm bảo sự an toàn tuyệt đối cho cả mẹ và bé, đáp ứng mọi tiêu chuẩn khắt khe nhất.
Tại Hải Oanh, quy trình lấy cao răng được thực hiện bởi đội ngũ bác sĩ chuyên khoa giàu kinh nghiệm, am hiểu sâu sắc về tình trạng sức khỏe nhạy cảm của phụ nữ sau sinh. Chúng tôi sử dụng công nghệ sóng siêu âm hiện đại giúp loại bỏ triệt để cao răng mà không gây đau, không xâm lấn và không làm tổn thương men răng hay mô nướu. Đặc biệt, hệ thống vô khuẩn tuyệt đối tại phòng khám luôn được tuân thủ nghiêm ngặt, loại bỏ mọi nguy cơ nhiễm trùng.

Qua những thông tin trên, hy vọng bạn đã có câu trả lời rõ ràng cho thắc mắc sau sinh bao lâu thì được lấy cao răng? Việc chăm sóc răng miệng đúng cách trong giai đoạn nhạy cảm này không chỉ bảo vệ nụ cười của bạn mà còn ảnh hưởng đến sức khỏe tổng thể. Hãy để Nha khoa Thẩm mỹ Quốc tế Hải Oanh trở thành địa chỉ tin cậy giúp bạn lấy lại sự tự tin với nụ cười rạng rỡ, khỏe mạnh.
--------------------------------------------------------
Nha Khoa Thẩm Mỹ Quốc Tế Hải Oanh - Tạo thương hiệu từ chất lượng!
- Địa chỉ: Ngã ba đường 188, Khu đô thị Tân Việt Bắc - Mạo Khê - Đông Triều - Quảng Ninh.
- Hotline: 0915.151.191 - 0818.28.28.29
- Website: https://nhakhoathammyquoctehaioanh.com/
- Zalo OA: https://zalo.me/haioanhdental
