Dấu hiệu cảnh báo tiêu xương do mất răng - Nhận biết sớm để hạn chế biến chứng
1. Tiêu xương hàm là gì? Hiểu đúng để ngăn ngừa hậu quả nghiêm trọng
Bạn có biết, khi một chiếc răng vĩnh viễn bị mất đi, khoảng 25% thể tích xương hàm tại vị trí đó sẽ tiêu biến chỉ sau một năm? Tiêu xương hàm không chỉ là một vấn đề y khoa, mà còn là nỗi ám ảnh thẩm mỹ thầm lặng.

Tình trạng này là hiện tượng xương ổ răng (phần xương nâng đỡ chân răng) dần dần suy giảm về mật độ và thể tích do thiếu lực ăn nhai tác động. Quá trình tiêu xương diễn ra một cách âm thầm, chỉ khi các hậu quả trở nên rõ rệt thì người bệnh mới nhận ra.
2. Dấu hiệu cảnh báo tiêu xương do mất răng
Nhiều người thường xem nhẹ việc mất một hoặc vài chiếc răng, nhưng thực tế, đây là khởi đầu cho một quá trình thoái hóa nghiêm trọng: tiêu xương hàm. Việc nhận biết sớm các dấu hiệu cảnh báo tiêu xương do mất răng là vô cùng quan trọng để ngăn chặn những hậu quả lâu dài về thẩm mỹ và sức khỏe răng miệng. Đây là những tín hiệu không thể bỏ qua, cho thấy xương hàm của bạn đang dần biến mất.
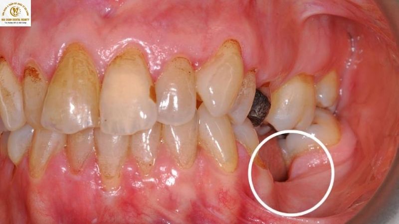
2.1. Tụt lợi và vùng mất răng bị lõm xuống
Đây là một trong những dấu hiệu sớm và rõ ràng nhất của tiêu xương. Khi không còn chân răng để nâng đỡ, xương ổ răng sẽ dần teo lại. Phần nướu bao phủ lên xương cũng sẽ theo đó mà tụt xuống, khiến vùng mất răng trông lõm vào và sâu hơn so với các vùng lân cận. Tình trạng này không chỉ gây mất thẩm mỹ mà còn tạo ra các khe hở, dễ tích tụ thức ăn và vi khuẩn.

2.2. Hóp má và da mặt chảy xệ
Khi quá trình tiêu xương diễn ra, thể tích xương hàm bị giảm sút đáng kể. Xương hàm là bộ khung nâng đỡ chính của khuôn mặt. Khi bộ khung này yếu đi, toàn bộ cấu trúc da và cơ mặt sẽ mất đi điểm tựa vững chắc. Kết quả là má có thể bị hóp lại, vùng da mặt trở nên chùng nhão, chảy xệ, xuất hiện nhiều nếp nhăn quanh miệng, khiến bạn trông già đi rất nhiều so với tuổi thật.

2.3. Răng xô lệch và trồi dài
Khi xương hàm bị tiêu biến, các răng còn lại sẽ mất đi nền móng vững chắc. Các răng này có xu hướng xô lệch, nghiêng đổ vào khoảng trống của chiếc răng đã mất. Đồng thời, răng đối diện trên cung hàm cũng có xu hướng trồi dài ra để tìm kiếm khớp cắn. Điều này dẫn đến sự mất cân bằng khớp cắn, gây khó khăn khi ăn nhai, đau khớp thái dương hàm cũng như làm tăng nguy cơ mất thêm nhiều răng khác.

2.4. Xương hàm tiêu biến nhanh, khó phục hồi
Hậu quả nghiêm trọng nhất là xương hàm sẽ tiếp tục tiêu biến với tốc độ nhanh chóng theo thời gian. Khi mật độ và thể tích xương không còn đủ, các phương pháp phục hồi như cấy ghép Implant sẽ trở nên vô cùng khó khăn, thậm chí là không thể thực hiện nếu không trải qua các phẫu thuật phức tạp như ghép xương. Đây là lý do tại sao việc phát hiện, điều trị sớm là chìa khóa để bảo vệ sức khỏe và lựa chọn điều trị của bạn trong tương lai.
3. Giải pháp nào khi xuất hiện dấu hiệu cảnh báo tiêu xương do mất răng?
Khi nhận thấy dấu hiệu cảnh báo tiêu xương do mất răng, việc tìm kiếm giải pháp kịp thời là vô cùng cần thiết. Giải pháp tối ưu và hiệu quả nhất hiện nay chính là cấy ghép Implant nha khoa.

Giải pháp tốt cho việc mất răng là cấy ghép Implant để khôi phục chức năng ăn nhai và tính thẩm mỹ
Implant nha khoa không chỉ đơn thuần là phục hình một chiếc răng đã mất, mà còn là phương pháp duy nhất thay thế được chân răng tự nhiên. Trụ Implant được cấy trực tiếp vào xương hàm, đóng vai trò như một chân răng mới. Khi đó, lực nhai sẽ được truyền xuống, kích thích xương hàm phát triển và ngăn chặn hoàn toàn quá trình tiêu xương.
Tuy nhiên, trong những trường hợp tiêu xương đã diễn ra quá lâu, việc cấy Implant có thể không thực hiện được. Lúc này, các bác sĩ chuyên khoa sẽ phải thực hiện thêm phẫu thuật ghép xương để tái tạo thể tích xương hàm, tạo nền móng vững chắc trước khi đặt trụ Implant.

Tại Nha khoa Thẩm mỹ Quốc tế Hải Oanh, chúng tôi cam kết mang đến phác đồ điều trị chuyên biệt cho từng trường hợp. Đội ngũ bác sĩ chuyên môn cao, giàu kinh nghiệm sẽ thăm khám, đánh giá chính xác mức độ tiêu xương và đưa ra giải pháp toàn diện, từ ghép xương đến cấy Implant, giúp bạn khôi phục lại chức năng ăn nhai cũng như thẩm mỹ khuôn mặt một cách an toàn, hiệu quả.

Tại Hải Oanh quý khách hàng sẽ được thăm khám, chụp film và tư vấn chi tiết về tình trạng răng miệng của mình
Khi một chiếc răng bị mất đi, quá trình tiêu xương hàm sẽ bắt đầu, dấu hiệu cảnh báo tiêu xương do mất răng ngày càng rõ rệt. Việc can thiệp kịp thời không chỉ giúp bạn tránh được những biến chứng thẩm mỹ, mà còn bảo vệ sức khỏe tổng thể của cả khuôn mặt. Đừng để những dấu hiệu này trở thành nỗi lo lắng âm ỉ. Hãy chủ động tìm hiểu và thăm khám ngay khi nhận ra dấu hiệu bất thường. Tại Nha khoa Thẩm mỹ Quốc tế Hải Oanh, chúng tôi cam kết sẽ mang đến những giải pháp chuyên biệt, giúp bạn khôi phục lại nụ cười khỏe mạnh, vững chắc, từ đó tự tin hơn trong cuộc sống.
Nha Khoa Thẩm Mỹ Quốc Tế Hải Oanh - Tạo thương hiệu từ chất lượng!
- Địa chỉ: Ngã ba đường 188, Khu đô thị Tân Việt Bắc - Mạo Khê - Đông Triều - Quảng Ninh.
- Hotline: 0915.151.191 - 0818.28.28.29
- Website: https://nhakhoathammyquoctehaioanh.com/
- Zalo OA: https://zalo.me/haioanhdental
