[GIẢI ĐÁP] Lấy cao răng có làm trắng răng không?
1. Lấy cao răng có làm trắng răng không?
Cạo vôi răng là quá trình loại bỏ lớp cặn bẩn và vết ố bên ngoài này, giúp răng trở về màu sắc tự nhiên ban đầu của nó. Điều này tạo cảm giác răng trông sáng hơn, sạch hơn. Tuy nhiên, nó không làm thay đổi màu sắc bên trong của răng.
Để hiểu rõ hơn, chúng ta cần phân biệt:
- Cao răng và mảng bám: Đây là những lớp cặn bẩn tích tụ từ thức ăn, nước bọt và vi khuẩn, thường có màu vàng, nâu hoặc đen. Chúng bám chặt trên bề mặt răng, gây ra các bệnh lý và che lấp màu sắc tự nhiên của men răng.
- Màu sắc tự nhiên của răng: Màu sắc này do cấu trúc ngà răng quyết định và có thể bị sẫm màu theo thời gian do nhiều yếu tố như tuổi tác, di truyền, hoặc thói quen sinh hoạt.

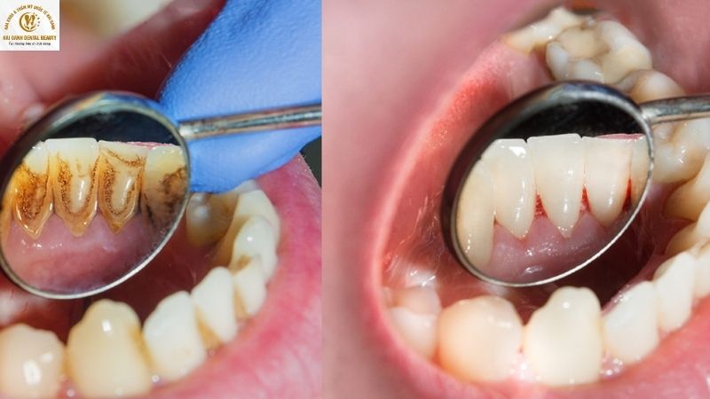
Lấy cao răng chỉ giúp làm sạch mảng bám chứ không làm trắng răng
2. Phương pháp làm sạch cao răng hiệu quả và an toàn nhất
Ngày nay, công nghệ cạo vôi răng siêu âm là giải pháp tối ưu nhất để loại bỏ cao răng. Tại Nha khoa Thẩm mỹ Quốc tế Hải Oanh, chúng tôi ứng dụng công nghệ này để mang lại hiệu quả cao và sự thoải mái cho khách hàng:
- Cơ chế hoạt động: Máy cạo vôi răng siêu âm sử dụng đầu rung siêu nhỏ với tần số cao để tạo ra sóng siêu âm. Sóng này nhẹ nhàng làm vỡ các liên kết của cao răng, giúp chúng bong ra khỏi bề mặt răng và dưới nướu mà không gây tổn thương hay xâm lấn men răng.
- Ưu điểm vượt trội: Quá trình diễn ra nhanh chóng, ít gây ê buốt, và đặc biệt hiệu quả trong việc làm sạch những mảng bám cứng đầu ở những vị trí khó tiếp cận.
- Hoàn thiện thẩm mỹ: Sau khi toàn bộ cao răng được loại bỏ, nha sĩ sẽ tiến hành đánh bóng bề mặt răng bằng vật liệu chuyên dụng. Bước này giúp loại bỏ hoàn toàn các vết ố còn sót lại, làm mịn bề mặt răng để hạn chế mảng bám tái hình thành, đồng thời giúp răng bóng và trông sáng hơn.
3. Lịch lấy cao răng định kỳ mang đến hàm răng khỏe mạnh
Dù đã biết lấy cao răng có làm trắng răng không nhưng bạn vẫn nên thực hiện việc lấy cao răng bởi nó mang lại nhiều lợi ích cho răng miệng. Các bác sĩ cũng khuyến cáo nên định kỳ lấy cao răng 6 tháng/lần, bởi:
- Làm giảm nguy cơ mắc các bệnh lý về răng miệng: Các mảng bám, cặn thức ăn bám chặt vào chân, kẽ răng là môi trường thích hợp cho vi khuẩn phát triển gây ra nhiều bệnh lý nghiêm trọng như viêm nha chu, tụt lợi, mòn men răng… Định kỳ lấy cao răng 6 tháng/lần sẽ giúp cho bạn luôn có hàm răng sạch sẽ, hạn chế mảng bám tích tụ, loại bỏ môi trường để vi khuẩn sinh sôi, hạn chế bệnh về răng miệng.
- Giảm thiểu tối đa tình trạng hôi miệng, mang đến hơi thở thơm mát: Lấy cao răng khiến cho vi khuẩn khó có môi trường để phát triển, từ đó giảm thiểu tình trạng hơi thở có mùi.
- Giúp răng sáng hơn: Mặc dù không thể làm cho răng trắng sáng như khi tẩy răng nhưng lấy cao răng cũng sẽ loại bỏ mảng bám gây ố vàng, giúp cho răng trắng hơn từ 2 – 3 tông.
- Bảo vệ răng và xương hàm: Lấy cao răng giúp loại bỏ môi trường để vi khuẩn phát triển, điều này giảm thiểu các bệnh lý về răng, hạn chế tình trạng tiêu xương hàm.

4. Chăm sóc răng miệng đúng cách để ngăn ngừa tích lũy cao răng
Mặc dù chăm chỉ đánh răng mỗi ngày, cao răng vẫn có thể hình thành. Lý do bởi, về bản chất, cao răng là những mảng bám vi khuẩn tích tụ lâu ngày, kết hợp với khoáng chất trong nước bọt và vôi hóa thành một lớp cứng bám chặt trên răng. Để ngăn chặn quá trình này, các chuyên gia tại Nha khoa Thẩm mỹ Quốc tế Hải Oanh khuyên bạn nên kết hợp cả chăm sóc tại nhà và khám định kỳ tại nha khoa.
4.1. Nâng cao hiệu quả vệ sinh răng miệng hằng ngày
Hầu hết mọi người chỉ đánh răng để làm sạch, nhưng thực tế, kỹ thuật và công cụ đánh răng mới là yếu tố quyết định:
- Đánh răng đúng cách: Sử dụng bàn chải lông mềm và chải răng ít nhất hai lần một ngày, mỗi lần 2 phút. Hãy chải theo chuyển động tròn nhẹ nhàng, tập trung vào tất cả các bề mặt của răng và nướu, không nên chải quá mạnh.
- Sử dụng chỉ nha khoa và tăm nước: Bàn chải đánh răng không thể làm sạch hoàn toàn những cặn thức ăn và mảng bám kẹt sâu trong kẽ răng. Sử dụng chỉ nha khoa hoặc tăm nước ít nhất một lần mỗi ngày là cách hiệu quả nhất để loại bỏ những tác nhân gây hại này.
- Súc miệng với nước súc miệng: Đây là bước bổ sung quan trọng giúp tiêu diệt vi khuẩn còn sót lại trong khoang miệng, đặc biệt là ở những vị trí khó tiếp cận.

4.2. Xây dựng chế độ ăn uống khoa học
Chế độ ăn uống ảnh hưởng trực tiếp đến sức khỏe răng miệng. Bạn nên:
- Hạn chế thực phẩm và đồ uống có đường: Đường là "nguồn thức ăn" yêu thích của vi khuẩn, tạo môi trường thuận lợi cho mảng bám và cao răng hình thành.
- Tăng cường rau củ quả: Những loại thực phẩm giòn như táo, cà rốt, cần tây có thể hoạt động như một "bàn chải tự nhiên" giúp làm sạch răng.
- Bổ sung canxi và vitamin: Các thực phẩm giàu canxi (như hải sản, sữa chua, phô mai) và vitamin C (như cam, kiwi) giúp củng cố men răng và duy trì nướu khỏe mạnh.

Không hút thuốc lá: Thuốc lá là một trong những nguyên nhân chính gây ra tình trạng răng ố vàng, làm tăng nguy cơ mắc các bệnh về nướu, răng, dẫn đến ung thư vòm miệng.
4.3. Tuyệt đối không tự lấy cao răng tại nhà
Đã có rất nhiều trường hợp tự lấy cao răng tại nhà dẫn đến hậu quả nghiêm trọng. Các dụng cụ thô sơ có thể làm tổn thương mô nướu, gây chảy máu, nhiễm trùng, hoặc thậm chí làm hỏng men răng, khiến răng trở nên nhạy cảm và yếu đi. Hãy luôn tìm đến các phòng khám nha khoa uy tín để đảm bảo sự an toàn tuyệt đối.
Hy vọng rằng, những thông tin trên đã giúp bạn có câu trả lời rõ ràng cho thắc mắc lấy cao răng có làm trắng răng không. Mặc dù không phải là phương pháp làm trắng răng chuyên sâu, việc loại bỏ cao răng và mảng bám vẫn là bước nền tảng để hàm răng của bạn trông sáng hơn và khỏe mạnh hơn. Để có một nụ cười trắng sáng, rạng rỡ như mong muốn, hãy để các chuyên gia tại Nha khoa Thẩm mỹ Quốc tế Hải Oanh tư vấn và lựa chọn phương pháp phù hợp nhất cho bạn.
---------------------------------------------------------------------------------------
Nha Khoa Thẩm Mỹ Quốc Tế Hải Oanh - Tạo thương hiệu từ chất lượng!
- Địa chỉ: Ngã ba đường 188, Khu đô thị Tân Việt Bắc - Mạo Khê - Đông Triều - Quảng Ninh.
- Hotline: 0915.151.191 - 0818.28.28.29
- Website: https://nhakhoathammyquoctehaioanh.com/
- Zalo OA: https://zalo.me/haioanhdental
